0
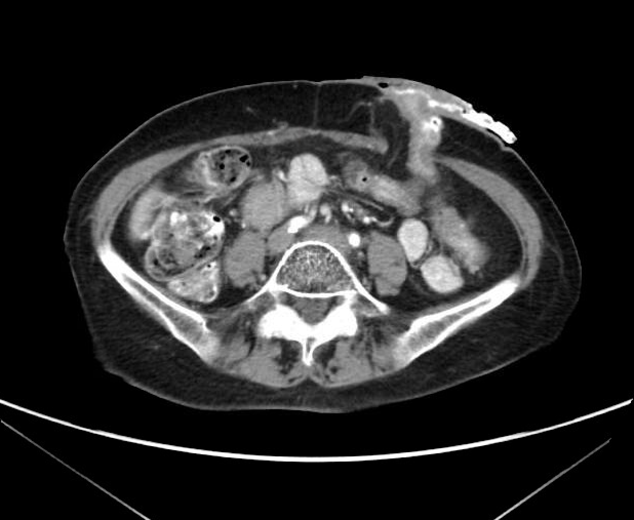
A 65-year-old woman with coronary artery disease and a history of abdominoperineal resection for a low rectal cancer 3 years ago presents with a painless peristomal bulge and an occasional appliance leak. She denies pain and reports normal colostomy output. Examination reveals a pink healthy colostomy and soft bulge medial to the stoma on application of the Valsalva maneuver. Result of recent surveillance computed tomography is available for review (Figure). What is the best management option?
There's more to see -- the rest of this topic is available only to subscribers.
Citation
"" ASCRS Question Bank, ASCRS U, www.ascrsu.com/ascrs/view/ASCRS-Question-Bank/3717169/all/Benign_Disease. Accessed 21 April 2026.
ASCRS Question Bank. https://www.ascrsu.com/ascrs/view/ASCRS-Question-Bank/3717169/all/Benign_Disease. Accessed April 21, 2026.
In ASCRS Question Bank https://www.ascrsu.com/ascrs/view/ASCRS-Question-Bank/3717169/all/Benign_Disease
[Internet]. In: ASCRS Question Bank. [cited 2026 April 21]. Available from: https://www.ascrsu.com/ascrs/view/ASCRS-Question-Bank/3717169/all/Benign_Disease.
* Article titles in AMA citation format should be in sentence-case
TY - ELEC
T1 -
ID - 3717169
BT - ASCRS Question Bank
UR - https://www.ascrsu.com/ascrs/view/ASCRS-Question-Bank/3717169/all/Benign_Disease
DB - ASCRS U
DP - Unbound Medicine
ER -
ASCRS Question Bank

