0
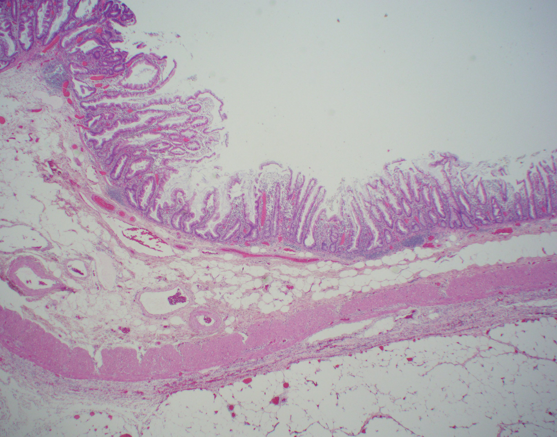
A 52-year-old current smoker undergoes colonoscopy for screening and is found to have 6 polyps in the ascending, transverse, and descending colon. The polyps are 12 mm, 12 mm, 15 mm, 6 mm, 8 mm, and 5 mm in size. All of them are completely resected. Endoscopic (Figure 1) and photomicrographic (Figure 2) images of a polyp are shown.
Figure 1
Figure 2
At what interval is follow-up colonoscopy recommended?
There's more to see -- the rest of this topic is available only to subscribers.
Citation
"" ASCRS Question Bank, ASCRS U, www.ascrsu.com/ascrs/view/ASCRS-Question-Bank/3717286/all/Malignancy. Accessed 22 April 2026.
ASCRS Question Bank. https://www.ascrsu.com/ascrs/view/ASCRS-Question-Bank/3717286/all/Malignancy. Accessed April 22, 2026.
In ASCRS Question Bank https://www.ascrsu.com/ascrs/view/ASCRS-Question-Bank/3717286/all/Malignancy
[Internet]. In: ASCRS Question Bank. [cited 2026 April 22]. Available from: https://www.ascrsu.com/ascrs/view/ASCRS-Question-Bank/3717286/all/Malignancy.
* Article titles in AMA citation format should be in sentence-case
TY - ELEC
T1 -
ID - 3717286
BT - ASCRS Question Bank
UR - https://www.ascrsu.com/ascrs/view/ASCRS-Question-Bank/3717286/all/Malignancy
DB - ASCRS U
DP - Unbound Medicine
ER -
ASCRS Question Bank

