0
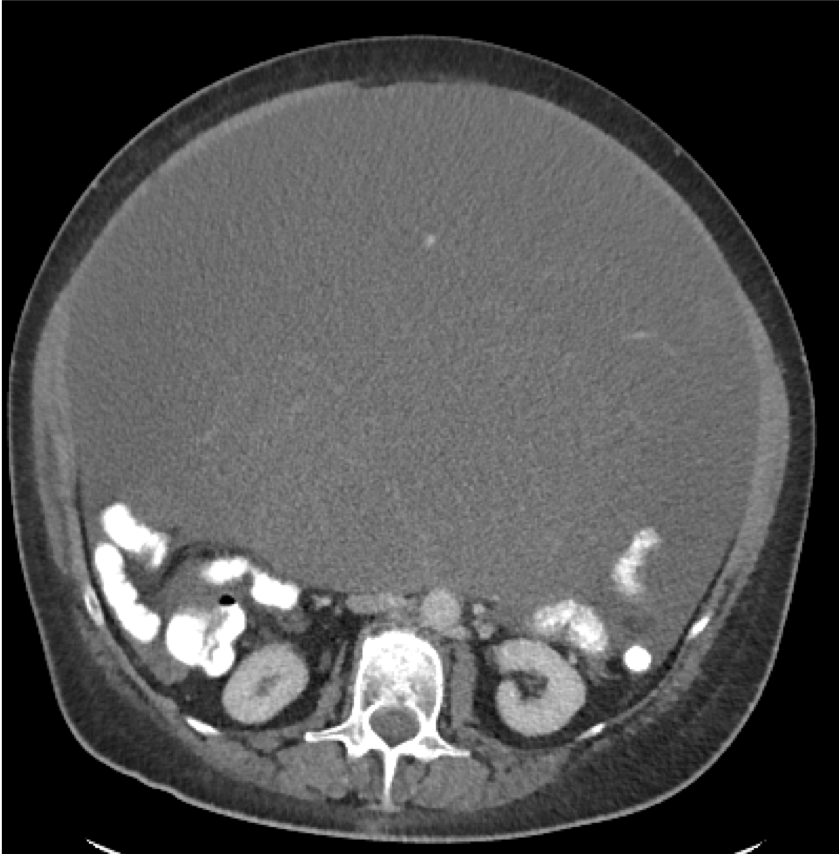
A 56-year-old woman presents for evaluation of increasing abdominal girth, fullness, and abdominal pain. On examination, her abdomen is distended and she has had progressive weight loss of 50 lbs over the last 1 year. Computed tomography is performed (Figure). Her gynecologic examination and transvaginal ultrasonography findings are normal. Findings of colonoscopy are unremarkable. What is the best step in management?
There's more to see -- the rest of this topic is available only to subscribers.
Citation
"" ASCRS Question Bank, ASCRS U, www.ascrsu.com/ascrs/view/ASCRS-Question-Bank/3717317/all/Malignancy. Accessed 22 April 2026.
ASCRS Question Bank. https://www.ascrsu.com/ascrs/view/ASCRS-Question-Bank/3717317/all/Malignancy. Accessed April 22, 2026.
In ASCRS Question Bank https://www.ascrsu.com/ascrs/view/ASCRS-Question-Bank/3717317/all/Malignancy
[Internet]. In: ASCRS Question Bank. [cited 2026 April 22]. Available from: https://www.ascrsu.com/ascrs/view/ASCRS-Question-Bank/3717317/all/Malignancy.
* Article titles in AMA citation format should be in sentence-case
TY - ELEC
T1 -
ID - 3717317
BT - ASCRS Question Bank
UR - https://www.ascrsu.com/ascrs/view/ASCRS-Question-Bank/3717317/all/Malignancy
DB - ASCRS U
DP - Unbound Medicine
ER -
ASCRS Question Bank

