Colonic Physiology
No organ in the body is so misunderstood, so slandered and so maltreated as the colon. Its sorrows are numerous and real. (Sir Arthur F. Hurst. 1921[1])
Section editor: Charles Whitlow, MD
Editor-in-chief: Scott Steele, MD, MBA
Key Concepts
- Colonic innervation is supplied by both extrinsic and intrinsic pathways. The extrinsic pathways are derived from the autonomic nervous system. The parasympathetic input is excitatory, while the sympathetic input is inhibitory to colonic motor function. The intrinsic consists of the myenteric plexus.
- The interstitial cells of Cajal (ICC) are the primary pacemaker cells of the enteric nervous system.
- The short-chain fatty acid (SCFA) butyrate is the primary energy source of the colon. It is produced by the colon as a result of fermentation of complex carbohydrates by colonic flora.
- The colon absorbs sodium and water and secretes bicarbonate and potassium. Aldosterone mediates the process of active sodium absorption in the colon.
- Colonic contractile events are divided into (1) segmental contractions and (2) propagated contractions, including low-amplitude propagating contractions (LAPC) and high-amplitude propagating contractions (HAPC). The main function of HAPC is to propagate colonic contents toward the anus.
No organ in the body is so misunderstood, so slandered and so maltreated as the colon. Its sorrows are numerous and real. (Sir Arthur F. Hurst. 1921[1])
Embryology
Familiarity with the complex embryologic process of colon and rectal development is important to understanding its function and pathologic processes. During the third and fourth weeks of gestation, the primitive gut arises from the cranio-caudal and lateral folding of the dorsal endoderm-lined yolk sac. The mucosa arises from the endodermal layer, while the muscular wall, connective tissue, and outer serosal surface arise from the mesodermal layer. By the fourth week of gestation, three distinct regions (foregut, midgut, and hindgut) have differentiated based on their blood supply. The foregut, supplied primarily by the celiac artery, consists of the distal end of the esophagus, stomach, and initial portion of the duodenum. The midgut, supplied by the superior mesenteric artery, begins distal to the confluence of the common bile duct in the third portion of the duodenum and includes the proximal two-thirds of the transverse colon. This portion of the intestine maintains a connection to the yolk sac via the vitelline duct. Absence of its obliteration results in a Meckel’s diverticulum. The hindgut, which comprises the rest of the distal GI tract, includes the distal transverse colon, descending colon, sigmoid colon, and rectum. This is supplied by the inferior mesenteric artery[2].
During the fifth week of gestation, the midgut undergoes a rapid elongation which exceeds the capacity of the abdominal cavity. This results in a physiologic herniation through the abdominal wall at the umbilicus. Through the sixth week of gestation, continued elongation results in a 90° counterclockwise rotation around the superior mesenteric artery. The small intestine continues its significant growth, forming loops, while the caudal end enlarges into the cecal bud. During the tenth week of gestation, herniated bowel returns to the abdominal cavity, completing an additional 180° counterclockwise loop. Anomalies of this stage of development may include nonrotation, malrotation, reversed rotation, internal hernia, and omphalocele. After the bowel is returned to the abdominal cavity, the disposition of the embryonic proximal jejunum is on the left and the primitive colon is on the right. The cecum is the last component to reenter the abdomen. It is initially located in the right upper quadrant but then migrates inferiorly to the right iliac fossa, as the dorsal mesentery suspending the ascending colon shortens and then recedes[3] (Fig. 2.1). As the cecal bud descends, the appendix appears as a narrow diverticulum. The loss of the dorsal mesentery of the ascending and descending colon produces their retroperitoneal fixation, absent in the cecum, transverse colon, and sigmoid colon[2].
The embryology of the distal rectum is more complex. It initially begins as the cloaca which is a specialized area comprising endodermal and ectodermal tissue. The cloaca exists as a continuation between the urogenital and GI tracts; however, during the sixth week of gestation, it begins to divide and differentiate into the anterior urogenital, posterior anorectal, and sphincter components. At the same time, the urogenital and GI tracts become separated by caudal migration of the urogenital septum. During the tenth week of gestation, while the majority of the midgut is returning to the abdomen, the external anal sphincter is formed in the posterior cloaca as the descent of the urogenital septum becomes complete. The internal anal sphincter is formed during the 12th week of gestation by enlargement and specialization of the circular muscle layer of the rectum[2].
Colonic Anatomy
Introduction
Human fecal production is approximately 128 g/day, increased by high dietary fiber intake. The chemical composition and pH of the fecal output are influenced by diet, with the major organic component (25–54% of dry solid) of feces derived from bacterial biomass[4]. The colonic epithelium is highly efficient at absorbing sodium, chloride, water, and short-chain fatty acids. In addition, the colonic epithelium secretes bicarbonate, potassium chloride, and mucus. Under normal conditions, the colon receives approximately 1500 to 2000 mL of fluid material from the ileum over a 24-hour period, absorbing all but 100 mL of fluid and 1 mEq of sodium and chloride, resulting in excretion of feces with a sodium concentration of approximately 30 mmol/l and potassium concentration of 75 mmol/l[5]. Colonic absorptive capacity can increase up to 5 or 6 liters and 800–1000 mEq of sodium and chloride daily when challenged by larger fluid loads entering the cecum, a feature that allows the large bowel to compensate for impaired absorption in the small intestine. Several factors determine colonic absorption ability, including volume of fluid, composition of fluid, and rate of flow of luminal fluid. Since the work of Cannon in 1902, the proximal colon has been recognized to be the primary site responsible for storage, mixing, and absorption of water and electrolytes[6]. While the rectosigmoid colon functions primarily as a conduit, it can also participate in this compensatory absorptive response.
Colonic Wall Anatomy
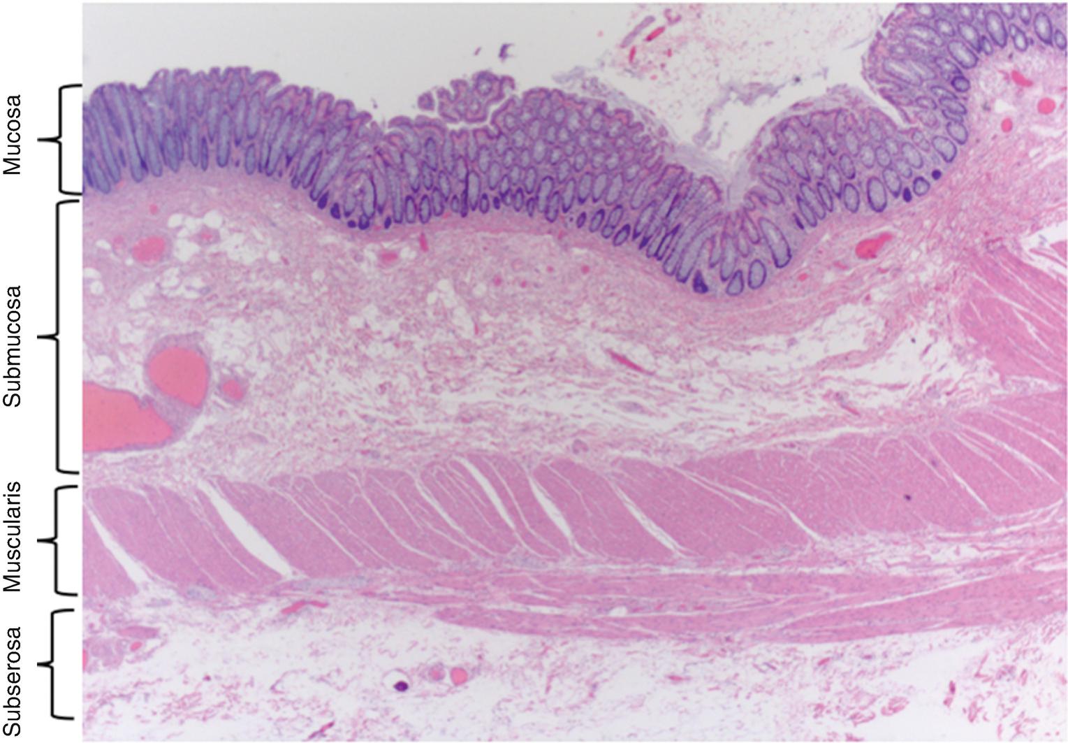
There are four layers to the colonic wall: mucosa, submucosa, muscularis propria, and serosa. The mucosa consists of epithelium, lamina propria, and muscularis mucosae (Fig. 2.2 ). The epithelium lines the luminal surface of the colon. The submucosal layer is just deep to the epithelium and contains vasculature, lymphatics, and Meissner’s nerve plexus. The submucosa consists largely of loose connective tissue with collagen and elastin fibrils. The muscular layers of the large intestine are composed of both longitudinally and circularly arranged fibers. Longitudinal muscle fibers are concentrated into three flat bands called the taenia coli. These run from the cecum to the rectum, where the fibers fan out to form a more continuous longitudinal coat. The circular layer of muscle fibers is continuous from the cecum to the anal canal, where it increases in thickness to form the internal anal sphincter. Auerbach’s myenteric plexus is found between the circular and longitudinal smooth muscle layers. The interstitial cells of Cajal (ICC) are specialized mesenchymal, c-kit-positive cells. The ICC are thought to primarily serve as the pacemaker cell of the enteric nervous system, linking the colonic submucosa electrochemically with the myenteric plexus. There are multiple subtypes of ICC dispersed throughout the musculature of the colon, and controversy exists surrounding their distribution[7]. The ICC are the cells of origin of GI stromal tumors (GISTs) which arise from the colonic wall rather than the mucosa. The serosa is the outermost layer of the colon and is surrounded by visceral peritoneum[8]. The colonic epithelium is highly specialized with multiple ion channels, carrier proteins, and pumps. An in-depth review of these mechanisms is well beyond the scope of this chapter.
Epithelial Types
There are three main types of colonic epithelial cells: enterocytes, goblet cells, and neuroendocrine cells. Enterocytes are simple columnar epithelial cells. They are the major cell type in colonic epithelium, and they play important roles in nutrient absorption and in secretion. Goblet cells secrete mucus to lubricate the passage of food through the intestines. Enterocytes and goblet cells comprise nearly 95% of the epithelial cells in the colon. Neuroendocrine cells are known to act as chemoreceptors, initiating digestive actions, detecting harmful substances, and initiating protective responses[9].
All types of epithelial cells differentiate from common stem cells, which are located at the bottom of the crypts, and most differentiated cells migrate to the surface epithelium (Fig. 2.3). The epithelium lining is continuously renewed by dividing cells every 4–5 days. Crypt epithelium is highly proliferative and relatively undifferentiated and secretes chloride. The surface epithelium, in contrast, has low proliferative activity, is well-differentiated, and is highly absorptive. Ion absorption and secretion occurs at both the surface and crypt levels[10].
Secretory Role of Colonic Epithelium
Sodium
Absorption of sodium and secretion of bicarbonate in the colon are active processes, occurring against an electrochemical gradient. This process resides primarily in the crypt cells and is responsible for maintaining a liquid chyme. Ninety percent of sodium is actively absorbed in exchange for secretion of potassium. The transcellular secretion of chloride accounts for most of the secretory activity. Chloride enters the cell through a sodium carrier located in the basolateral membrane. The majority of sodium chloride absorption occurs in the proximal colon and is driven primarily through the electroneutral absorption by tightly coupled luminal Na+/H+ and Cl−/HCO3 − exchange. The sodium gradient is established by Na +-K +-ATPase, and each pump cycle results in the extrusion of three sodium ions in exchange for the basolateral uptake of two potassium ions, resulting in the net transfer of one positively charged sodium ion across the basolateral membrane (Fig. 2.4). The resulting secretion of sodium and potassium establishes an osmotic gradient drawing water into the lumen[10]. The epithelial Na+/H+ exchange is a pleiotropic membrane transport mechanism that participates in intestinal NaCl transport. It also helps to regulate basic cellular functions and the extracellular milieu to facilitate other nutrient absorption and to regulate the gut microbial microenvironment[11].
In the distal colon, the epithelial sodium channel (ENAC) mediates sodium absorption. Sodium is taken up by the ENAC on the luminal side and is excreted on the basolateral surface by the Na +-K +-ATPase. Chloride is absorbed through the luminal cystic fibrosis conductance regulator (CFTR) and is then excreted on the basolateral side via multiple mechanisms, including KCl cotransporter (KCCl), Cl− channels, and Cl−/HCO3 − anion exchangers. The net result is tight regulation of electrolyte secretion in excreted stool (Fig. 2.4)[2].
Clinical applications of abnormalities associated with sodium continue to emerge. For example, Clostridium difficile, the leading cause of nosocomial diarrhea and pseudomembranous colitis, also exerts inhibitory effects on epithelial Na+/H+ exchange mechanism. However, in inflammatory bowel disease (IBD), both electrogenic sodium transport mediated by sodium channels and electroneutral Na+/H+ exchange-coupled NaCl absorption are reduced[12]. The Na+/H+ exchangers are frequent targets of inhibition in gastrointestinal pathologies, by either intrinsic factors (e.g., bile acids, inflammatory mediators) or infectious agents and associated microbial toxins[11]. A separate Cl−/OH− exchange is represented by a protein called DRA (downregulated in colonic adenomas). Human DRA mutations are responsible for congenital chloride diarrhea[13].
In infectious diarrhea, active and excessive chloride secretion is predominant. Cholera is a classic example leading to significant watery diarrhea. If uncontrolled, it can lead to the loss of large quantities of fluid and electrolytes, which can result in dehydration and electrolyte imbalances, and ultimately death. In this instance, cholera toxin binds to the brush border of crypt cells and increases intracellular adenylyl cyclase activity. Adenylyl cyclase synthesizes cAMP from ATP. The result is a dramatic increase in intracellular cAMP that stimulates active Cl− and HCO3− secretion into the lumen. Water follows the osmotic gradient and enters the lumen leading to a secretory diarrhea.
Potassium
The colonic epithelial apical and basolateral membranes are permeable to potassium. There is a high concentration of intracellular potassium maintained by the Na+-K+ pump; therefore, some potassium will leak passively across the apical membrane of epithelial cells. The concentration of potassium in the colonic lumen remains roughly equal to the serum potassium (4 or 5 mEq/L). In the colon, net potassium secretion occurs. Because of potassium secretion and the exchange of chloride for bicarbonate in the colon, prolonged diarrhea results in hypokalemic metabolic acidosis. This also contributes to the alkaline pH of stool water.
Aldosterone
Mineralocorticoids can decrease the sodium concentration in fecal water from 30 to 2 mEq/L and increase the potassium concentration from 75 to 150 mEq/L. There is an increase in sodium permeability of the brush border membrane caused by the activation of new sodium channels. In addition, aldosterone increases the number of sodium pump molecules in the basolateral membrane. The influence of aldosterone on sodium transport is exerted at two points. In the distal colon, epithelial Na +-K +-ATPase is activated by aldosterone. In the proximal colon, the Na +-H + exchange is activated by aldosterone. Therefore, aldosterone works by two different mechanisms, in different portions of the colon, to conserve sodium at the expense of potassium.
Mechanism for Water Absorption
The human colon has a nominal mucosal surface area of about 2000 cm2[14]; however, the total absorptive area is even greater because colonic crypt cells are capable of absorption as well as secretion[15]. The continued production of solutes by colonic bacteria, together with the relative impermeability of the colonic membrane to water, usually causes stool water to be hypertonic, 350–400 milliosmoles (mOsm)/L, to plasma. The volume of fluid moving from blood to lumen (secretion) is less than that moving from the lumen to the blood (absorption), thus resulting in net absorption. Absorption generally results from the passive movement of water across the epithelial membrane in response to osmotic and hydrostatic pressures. The autonomic nervous system has effects on NaCl transport affecting absorption. Adrenergic (α-receptor) or anticholinergic stimuli tend to increase absorption[10].
Short-Chain Fatty Acid Absorption
In the proximal colon, bacteria ferment organic carbohydrates to short-chain fatty acids (SCFA), predominantly acetate, propionate, and butyrate. Butyrate is the main energy substrate for the colonic epithelium. SCFA provides approximately 10% of the daily caloric requirements[16]. SCFA are among the most important microbial metabolites that interact with host cells, with up to 100 mMols of SCFA produced in the colonic lumen by bacteria. Since luminal SCFA are absorbed by colonic epithelial cells into the submucosa and the systemic circulation, a variety of SCFA signaling pathways are likely involved in acute and long-term physiological responses to luminal bacterial activity[17].
SCFA are potent stimuli of sodium and water absorption in the colon, with butyrate being the most effective. SCFA are rapidly absorbed from the colon which augments sodium, chloride, and water absorption. SCFA have several potentially therapeutic effects in vitro. They regulate proliferation, differentiation, gene expression, immune function, and colonic wound healing. In acute diarrhea, fecal SCFA concentrations are reduced, and this may contribute to impaired sodium absorption. SCFA potentially reduce inflammation in ulcerative colitis and diversion colitis. Butyrate has also been hypothesized to reduce the risk of colon cancer[18].
Vitamin K Absorption
The lipid-soluble vitamin K plays an essential role in facilitating blood coagulation by activating clotting factors; it also plays a role in signal transduction, cell proliferation, and bone and cartilage metabolism. Vitamin K is widely distributed in our diets and is also produced by the normal colon microbiota. Humans cannot synthesize vitamin K endogenously and, thus, must obtain it from exogenous sources via intestinal absorption. Absorption of dietary vitamin K in the small intestine is carrier-mediated and is an energy-dependent process, while absorption in the microbiota-generated vitamin K in the colon is via passive diffusion[19].
Colonic Innervation
The gastrointestinal tract is densely innervated to provide information on its luminal contents, processes regulating digestion and absorption, and potential threats[20].
The enteric nervous system is the largest single division of the autonomic nervous system (ANS), containing between 200 and 600 million enteric neurons throughout the GI tract[21]. The colon and rectum are innervated by nerves of both extrinsic and intrinsic origin. The extrinsic pathways originate from the central and autonomic (sympathetic and parasympathetic) nervous systems. Autonomic pathways run along parasympathetic and sympathetic chains. Each of these pathways include afferent (sensory) and efferent (motor) innervation. The intrinsic innervation consists of the enteric nervous system. Two major sets of ganglia are found in the colon. The myenteric or Auerbach’s plexus is located between the longitudinal and circular smooth muscle layers and plays a crucial role in colonic smooth muscle function. The submucosal or Meissner’s plexus regulates ion transport. The extreme importance of these two plexuses is clear in children with Hirschsprung’s disease in which the ganglia of the myenteric and submucosal plexuses are congenitally absent. The aganglionic segments do not relax and peristalsis is disturbed resulting in severe constipation[22].
Extrinsic innervation to the large intestine comes from both parasympathetic and sympathetic branches of the ANS. Colonic motility is modulated by sympathetic neurons in prevertebral ganglia, which has potent effects on colonic function (Fig. 2.5 ). The proximal regions of the large intestine are sympathetically innervated by fibers that originate from the superior mesenteric ganglion. More distal regions receive input from the inferior mesenteric ganglion. There is evidence for ongoing tonic inhibition of colonic secretion, since disrupting the pathway causes a substantial increase in secretion. This is largely mediated by a strong inhibitory drive to secretomotor neurons in submucosal ganglia, via α-2-adrenergic receptors[23]. Sympathetic activation also directly contracts sphincters via indirect effects (i.e., by reducing acetylcholine release from cholinergic neurons) and inhibits activation of enteric neurons. Both actions delay GI and colonic transit. The distal rectum and anal canal are innervated by sympathetic fibers from the hypogastric plexus.
There are two pathways of parasympathetic innervation. The cecum and the ascending and transverse portions of the colon are innervated by the vagus nerve, whereas the descending and sigmoid areas of the colon and the rectum are innervated by pelvic nerves from the sacral region of the spinal cord. The pelvic nerves enter the colon near the rectosigmoid junction and project orally and aborally within the plane of the myenteric plexus. The vagus and pelvic nerves consist primarily of preganglionic efferent fibers and many afferent fibers. The efferent fibers synapse with the nerve cell bodies of the myenteric and other intrinsic plexuses. The external anal sphincter, a striated muscle, is innervated by the somatic pudendal nerves. Sacral parasympathetic pathways to the colon primarily synapse onto myenteric neurons. Excitatory pathways are important for colonic propulsive activity, especially during defecation; damage to these pathways can cause severe constipation[24].
As in other regions of the gut, several diverse chemicals serve as mediators at presynaptic and postsynaptic junctions within the autonomic innervation to the large intestine. Acetylcholine (ACh) and tachykinins such as substance P serve as major excitatory mediators, and nitric oxide (NO), vasoactive intestinal peptide (VIP), and possibly adenosine triphosphate (ATP) serve as major inhibitory mediators. Transmission between the pudendal nerves and the external anal sphincter is mediated by ACh[10].
Pain
The sensation of pain appears to be mediated by different afferents depending on the location of the GI tract undergoing the noxious stimulus. Pain from the rectum primarily involves pelvic pathways. Inflammation (or inflammatory mediators) can change both the response properties of specific classes of sensory neurons and the involvement of specific ascending pathways, which is relevant in post-inflammatory hypersensitivity and postinfectious irritable bowel syndrome (IBS)[25].
Visceral sensory neurons activate reflex pathways that control gut function and give rise to important sensation, such as fullness, bloating, nausea, discomfort, urgency, and pain. Sensory neurons are organized into three central nervous system pathways: vagal, thoracolumbar, and lumbosacral[22]. Experimental distension of the descending or sigmoid colon is perceived as a sensation of cramping, gas, or pressure in the lower abdomen, lower back, or perineum[26].
Both central and peripheral mechanisms have been suggested to be involved in the development of pain symptoms. Several studies have provided evidence that IBS is associated with a dysregulation of the brain-gut axis, with peripheral sensory alterations dominating in some patients and disturbed central processing dominating in others[27]. It is now widely accepted that an altered visceral sensitivity through abnormal endogenous pain processing plays an important role in the pathogenesis of IBS[28]. IBS is associated with decreased epithelial expression of the serotonin-selective reuptake transporter (SERT) in many studies; however, it is unknown if the disturbance is responsible for the symptoms of IBS[29].
Colonic Motility
The motor function of the colon includes propulsion, accommodation, and rapid emptying of a variable portion of the colon during defecation. In addition, the colon must be able to store fecal material until socially acceptable to eliminate. Colonic motility is mediated by the enteric nervous system in association with autonomic parasympathetic and sympathetic input and with input from the extrinsic nervous system. Colonic motility is characterized by patterns of contraction of longitudinal and circular muscle layers with elimination of feces. Motility is integrated with colonic secretion and absorption. Propulsion is achieved by numerous motor events including individual contractions, contractile bursts, high-amplitude propagated contractions (HAPCs), and possibly changes in tone[22]. Accommodation, storage, and distribution of material within the colon are mediated by colonic tone. Tone and phasic activity in the colon show considerable diurnal variation, increasing slowly after a meal, reducing during sleep, and increasing dramatically upon waking[30]. HAPCs occur more frequently during the morning, during the postprandial period, and preceding defecation[30],[31],[32]. The colonic motor response to eating consists of an increase in phasic and tonic contractile activity that begins within several minutes of ingestion of a meal and continues for a period of up to 3 hours. This response is influenced by both the caloric content and composition of the meal with fat and carbohydrate stimulating colonic motor activity, while amino acids and protein inhibit motor activity[30].
A more prolonged state of contraction, referred to as tone, is not regulated by slow waves and may be recognized clearly in the colon (response to feeding), as well as in some sphincteric regions. Tone is regulated by actin-myosin interaction mediated by cellular mechanisms that are modulated by neurogenic and mechanical stimuli. Phasic contractions, such as those regulating lumen occlusion, may be superimposed on tonic activity. Thus, tone can increase the efficiency of phasic contractions by diminishing the diameter of the lumen. Tone also modifies wall tension in response to gut filling and is therefore one determinant of perception of distension.
This motor input interacts with myogenic mechanisms to create regional patterns of contraction and relaxation which mix and propel content. It is likely that regular contractile bursts – colonic motor complexes – do occur, each burst occurring once or twice per hour and lasting approximately 6 minutes[22]. Periodic or cyclic motor activity is evident more clearly in the rectum, the so-called rectal motor complexes. They do not appear to be synchronized with the small intestinal motor migrating complexes, and their precise function and regulation remain unclear[22].
The anorectum functions in defecation and continence. Defecation is achieved through the integration of a series of motor events and involves both striated and smooth muscle. A sensation of rectal fullness is generated by rectal afferents when colonic contents reach the rectum. Rectal filling also induces the rectoanal inhibitory or rectosphincteric reflex that leads to internal anal sphincter relaxation and external sphincter contractions. At this stage, the individual can decide to postpone or proceed with defecation. To facilitate defecation, the puborectalis muscle and external anal sphincter relax, thereby straightening the rectoanal angle and opening the anal canal. The propulsive force enabling defecation is generated by contractions of the rectosigmoid, diaphragm, and the muscles of the abdominal wall to propel the rectal contents through the open sphincter. The internal anal sphincter is a continuation of the smooth muscle of the rectum, is under sympathetic control, and provides approximately 80% of normal resting anal tone. The external anal sphincter and pelvic floor muscles are striated muscles innervated by sacral roots and the pudendal nerve.
Modulators of Colonic Motility
Muscarinic agonists (e.g., bethanechol) and cholinesterase inhibitors (e.g., neostigmine) increase colonic motility. The α-2 adrenergic antagonist yohimbine also increases colonic motility and promotes fluid and electrolyte absorption, while the α-2 agonist clonidine reduces motility. Clonidine reduces colonic tone and phasic pressure activity, as well as the colonic perception of distention which can increase colonic compliance. Clonidine can be used to treat diarrhea predominant IBS.
Serotonin 5-HT receptors (5-HT3) antagonists such as alosetron increase colonic compliance, reduce postprandial rectal motor activity, improve stool consistency, delay colon transit, and reduce rectal sensitivity in IBS. Alosetron was approved for IBS-diarrhea predominant in women[33]. A systematic review of published clinical trials through the Food and Drug Administration (FDA) Adverse Events Reporting System documented the risk of ischemic colitis was higher with alosetron than placebo (0.15% vs. 0.0%)[34], and it was subsequently withdrawn from the market.
A newer high selectivity affinity 5-HT4 receptor agonist, prucalopride, has been approved by the FDA. Extensive cardiovascular assessment suggests it does not affect the Q-T interval. For chronic constipation patients, prucalopride can be used to accelerate intestinal and colonic transit[35],[36].
The GI tract contains three opioid receptors (δ, μ, κ), with the gastrointestinal effects mediated primarily by μ receptors. Opioids reduce neuronal excitability and release of neurotransmitters. Morphine increases colonic phasic segmental activity, reduces fasting colonic tone, and attenuates the gastrocolonic response. Opioids also increase fluid absorption partly by delaying transit and increasing mucosal contact time. Opioid-induced constipation or opioid bowel dysfunction is common, affecting 41–81% of patients treated with opioids[18].
Lubiprostone is a synthetic bicyclic fatty acid derived from prostaglandin E1 that activates apical CIC-2 chloride channels. Lubiprostone also activates prostaglandin EP receptors and the apical cystic fibrosis transmembrane regulator (CFTR), causing intestinal fluid secretion[37]. These secretory effects likely explain why lubiprostone accelerates small intestinal and colonic transit in healthy subjects. Lubiprostone does not affect colonic motor activity in healthy individuals[38] but is approved by the FDA for treating chronic constipation and female constipation predominant IBS[18],[39].
Bile acids infused directly into the human sigmoid and rectum at concentrations of 5 mmol/L stimulated colonic phasic contractions; however, such concentrations are seldom achieved in the colon unless there has been an ileal resection. Rectal infusion of chenodeoxycholic acid at physiological concentrations stimulates proximal colonic propagated contractions and increases rectal sensitivity. Hence, chenodeoxycholic acid accelerates colonic transit in healthy subjects. These effects have pathophysiological and therapeutic consequences. When enterohepatic circulation of bile acids is disrupted by ileal disease (e.g., Crohn’s disease, surgical resection, or radiation ileitis) or idiopathic mechanisms (idiopathic bile-acid malabsorption), bile acids spill into the colon, causing diarrhea. Idiopathic bile-acid malabsorption may explain diarrhea in some patients with IBS. From a therapeutic perspective, delayed-release chenodeoxycholic acid, results in accelerated colonic transit and improved bowel function in females with constipation-predominant IBS[18].
Laxatives work either via osmotic effects (e.g., polyethylene glycol-based solutions, magnesium citrate-based products, sodium phosphate-based products, and nonabsorbable carbohydrates [lactulose, sorbitol]) or by stimulating colonic propulsive activity[18]. Osmotic agents, which are hypertonic, pull fluid into the intestinal lumen, causing diarrhea.
Stimulant laxatives (e.g., bisacodyl, sodium picosulfate, and glycerol) stimulate HAPC wave sequences, thereby leading to mass movements; bisacodyl and sodium picosulfate also have anti-absorptive plus secretory effects[18],[40],[41]. Bisacodyl exerts its motor effect through mucosal afferent nerve fibers, because the response can be blocked by topical mucosal application of lidocaine[18].
While sacral nerve stimulation is approved by the FDA to treat fecal incontinence, its role for treating constipation is unclear[42]. Sacral nerve stimulation modulates the extrinsic nerves innervating the pelvic floor and colon. In addition, stimulation of the S3 root also induces propulsive activity throughout the entire colon and has been shown to increase stool frequency in patients with slow transit constipation[43]. In Kamm’s study, colonic transit was assessed in 27 of 45 patients with medically refractory chronic constipation who proceeded to permanent sacral nerve stimula tion[42]. Of these 27 patients, 20 had delayed colonic transit before but only 9 had delayed transit after sacral nerve stimulation.
Microbiome
A normally functioning GI tract has healthy, well-established colonizing microbiota in its mucosa and lumen, which are major contributors to the maintenance of whole-body homeostasis. It is well established that the species composition and relative abundance of the gut microbiota are impacted by the diet, lifestyle, and overall health of an individual. Humans have developed a commensalistic relationship with the gut microbiome. Over time, this relationship has evolved to become a mutual and interdependent one, in which the physiologic activity of the microbiota has a significant impact on the host and the activity of the host impacts the genera comprising the microbiota. In support of life, gut microbial metabolism supplies the host with short-chain fatty acids and essential vitamins (vitamins B and K) and contributes to the synthesis and absorption of essential amino acids.
The adult human intestine contains approximately 110 trillion bacteria. Gas chromatography-mass spectrometry analysis detected more than 700 volatile organic compounds from human feces[44]. Our microbiota is established in the period after birth and although it can be modulated by factors, such as diet, illness, and antibiotic treatment, is relatively resistant to change in later life. The microbial composition changes along the length of the gut, in response to changes in the luminal environment including presence of nutrients, acidity, and oxygen content. Microbial diversity has been used as an index of a “healthy” microbiota, but this is probably a simplistic notion as some beneficial plant foods will decrease diversity yet produce a beneficial host response. There is considerable variability that likely depends predominantly on diet and lifestyle[45].
The role the human microbiome plays in health and disease is actively under investigation. The composition of feces is altered in diseases such as IBS[46], IBD, colorectal cancer[47], and autism[48], implicating that the pathogenesis of these diseases is associated with dysbiosis. Several studies demonstrate alterations in the fecal and colonic mucosal microbiome in constipation and diarrhea. Absent interventional trials, it is unclear whether these associations reflect cause and effect. However, even after adjusting for demographic features, diet, and colonic transit, the microbiome discriminated between health and constipation with an accuracy of 92%[18].
Patients with IBD have altered microbiota, and they may have changes in their gut microbiota that precede a diagnosis. IBD is thought to be an aberrant immune response to luminal content including the microbiota. A shift in the delicate balance (dysbiosis) of “good” bacteria and “bad” pro-inflammatory bacteria may be important for the development and maintenance of IBD. For example, Roseburia spp. are decreased in those already diagnosed with IBD, and as such, the manipulation of the microbiota using antibiotics, probiotics, and prebiotics might be useful in treating IBD[49],[50]. Crohn’s disease (CD) is associated with lower overall microbial diversity when compared to healthy controls. The abundance of both the Proteobacteria and Bacteroidetes was significantly higher in CD when compared to healthy controls and those with ulcerative colitis (UC). Low numbers and the absence of Faecalibacterium prausnitzii, a common member of the healthy gut microbial community, have been associated with UC. Antibiotics have been used to treat IBD with the goal of decreasing concentrations of bacteria in the lumen and altering the community composition.
These observations and many others have been the motivating force for the National Institutes of Health (NIH) Human Microbiome Project (NIH HMP)[51]. The NIH HMP is a roadmap for biomedical research and has three main goals: (1) utilize new high-throughput screening technology to characterize the microbiome more completely by studying multiple body sites from 250 “normal” individuals; (2) determine if there are associations between changes in the microbiome and health and disease; and (3) standardize data resources and new technologies for the wider scientific community[52],[53]. Phase II of this project has begun, and it aims to examine changes in three microbiome-associated conditions: (1) preterm birth, (2) IBD, and (3) type 2 diabetes[54],[55],[56],[57].
The indigenous human microbiome is dominated by two bacterial phyla: Firmicutes and Bacteroidetes. In many studies, the Firmicutes and Bacteroidetes account for greater than 98% of the bacteria present in the human gut. It has long been appreciated that different classes of antibiotics affect the human gut microbial community, both targeted and off-target[58],[59]. The use of antibiotics can open niches that were otherwise occupied and allow for new species (good or bad) to take up residency[60].
For example, changes in human gut microbiome community structure after exposure to the fluoroquinolone antibiotic, ciprofloxacin, have shown that much of the community is altered[61]. Dethlefsen et al. reported that all aspects of the gut microbiome community, that is, diversity, richness, and evenness, were decreased and the abundance of approximately one-third of the species present was changed[61]. The loss of diversity may cause acute human disease by impacting the role of the microbiome on nutrition, metabolism, and pathogen resistance. After antibiotic treatment was stopped, many of the communities rebounded and closely resembled the original community. In some cases, it took nearly 6 months for the microbiome to rebound. It has been suggested that broad-spectrum antibiotics, especially those with activity against anaerobes, might cause longer-lasting changes in the gut microbial community[62].
Conclusion
The colorectum is a complex organ with multiple roles in homeostasis. By increasing understanding of its anatomy and complex physiology, the colorectal surgeon can gain a better understanding of the etiology of derangements in pathophysiologic conditions. In addition, a thorough understanding of colorectal physiology allows an opportunity to develop new therapies based on its known functions. These examples are demonstrated with much greater detail throughout other chapters of the text.
References
- Hurst AF. An Address ON THE SINS AND SORROWS OF THE COLON: Delivered before the Harrogate Medical Society on November 26th, 1921. Br Med J. 1922;1(3207):941-3. [PMID:20770762]
- Bleier JIS, Wilkins KB. Colonic physiology. In: Beck DE, Roberts P, Saclarides T, Senagore A, Stamos M, Wexner SD, ed. The ASCRS textbook of colon and rectal surgery, 3rd ed. New York: Springer Science +Business LLC: 2016; pg 27–28.
- Danowitz M, Solounias N. Embryology, comparative anatomy, and congenital malformations of the gastrointestinal tract. Edorium J Anat Embryo. 2016;3:39–50. (embryology figure).
- Rose C, Parker A, Jefferson B, et al. The Characterization of Feces and Urine: A Review of the Literature to Inform Advanced Treatment Technology. Crit Rev Environ Sci Technol. 2015;45(17):1827-1879. [PMID:26246784]
- Phillips SF, Giller J. The contribution of the colon to electrolyte and water conservation in man. J Lab Clin Med. 1973;81(5):733-46. [PMID:4698660]
- Cannon WB. The movements of the intestines studied by means of the Röentgen rays. Am J Phys. 1902;6:251–77.
- Othman A, Al-Shboul. The importance of interstitial cells of cajal in the gastrointestinal tract. Saudi J Gastroenterol. 2013;19(1):3–15.
- Sellers RS, Morton D. The colon: from banal to brilliant. Toxicol Pathol. 2014;42(1):67-81. [PMID:24129758]
- Cox HM. Neuroendocrine peptide mechanisms controlling intestinal epithelial function. Current Opinion Pharmacol. 2016;31:50–6.
- Johnson LR. Fluid and electrolyte absorption. In LR Johnson Ed, Gastrointestinal physiology, 9th ed. Elsevier 2019;121–125.
- Gurney MA, Laubitz D, Ghishan FK, et al. Pathophysiology of Intestinal Na+/H+ exchange. Cell Mol Gastroenterol Hepatol. 2017;3(1):27-40. [PMID:28090568]
- Sandle GI. Pathogenesis of diarrhea in ulcerative colitis: new views on an old problem. J Clin Gastroenterol. 2005;39(4 Suppl 2):S49-52. [PMID:15758659]
- Kunzelmann K, Mall M. Electrolyte transport in the mammalian colon: mechanisms and implications for disease. Physiol Rev. 2002;82(1):245-89. [PMID:11773614]
- Edmonds CJ. Absorption of sodium and water by human rectum measured by a dialysis method. Gut. 1971;12(5):356-62. [PMID:5112170]
- Singh SK, Binder HJ, Boron WF, et al. Fluid absorption in isolated perfused colonic crypts. J Clin Invest. 1995;96(5):2373-9. [PMID:7593625]
- Bergman EN. Energy contributions of volatile fatty acids from the gastrointestinal tract in various species. Physiol Rev. 1990;70(2):567-90. [PMID:2181501]
- Kiela PR, Ghishan FK. Na+/H+ exchange in mammalian digestive tract. In: Said HM, Ghishan FK, editors. Physiology of the gastrointestinal tract. 6th ed. London: Academic Press, Elselvier; 2018. p. 1273–316.
- Bharucha AE, Brookes SJH. Neurophysiologic mechanisms of human large intestinal motility. In: Said HM, Ghishan FK, editors. Physiology of the gastrointestinal tract. 6th ed. London: Academic Press, Elselvier; 2018. p. 517–64.
- Said HM. Intestinal absorption of vitamin K: cellular and molecular mechanisms. In: Said HM, editor. Physiology of the gastrointestinal tract. 6th ed. London: Academic Press, Eselvier; 2018. p. 1197–9.
- Brookes SJ, Spencer NJ, Costa M, et al. Extrinsic primary afferent signalling in the gut. Nat Rev Gastroenterol Hepatol. 2013;10(5):286-96. [PMID:23438947]
- Furness JB. Disorders of motility and secretion and therapeutic targets in the enteric nervous system. In: Furness, editor. The enteric nervous system. Oxford: Blackwell Publishing; 2006. p. 200–11.
- Boeckxstaens G, Camilleri M, Sifrim D, et al. Fundamentals of neurogastroenterology: physiology/motility – sensation. Gastroenterology. 2016;150:1292–304.
- Lomax AE, Sharkey KA, Furness JB. The participation of the sympathetic innervation of the gastrointestinal tract in disease states. Neurogastroenterol Motil. 2010;22(1):7-18. [PMID:19686308]
- Knowles CH, Scott SM, Lunniss PJ. Slow transit constipation: a disorder of pelvic autonomic nerves? Dig Dis Sci. 2001;46(2):389-401. [PMID:11281190]
- Keszthelyi D, Troost FJ, Masclee AA. Irritable bowel syndrome: methods, mechanisms, and pathophysiology. Methods to assess visceral hypersensitivity in irritable bowel syndrome. Am J Physiol Gastrointest Liver Physiol. 2012;303(2):G141-54. [PMID:22595988]
- Ness TJ, Metcalf AM, Gebhart GF. A psychophysiological study in humans using phasic colonic distension as a noxious visceral stimulus. Pain. 1990;43(3):377-386. [PMID:2293146]
- Azpiroz F, Bouin M, Camilleri M, et al. Mechanisms of hypersensitivity in IBS and functional disorders. Neurogastroenterol Motil. 2007;19(1 Suppl):62-88. [PMID:17280586]
- Mertz H, Naliboff B, Munakata J, et al. Altered rectal perception is a biological marker of patients with irritable bowel syndrome. Gastroenterology. 1995;109(1):40-52. [PMID:7797041]
- Mawe GM, Hoffman JM. Serotonin signalling in the gut--functions, dysfunctions and therapeutic targets. Nat Rev Gastroenterol Hepatol. 2013;10(8):473-86. [PMID:23797870]
- Rao SS, Sadeghi P, Beaty J, et al. Ambulatory 24-hour colonic manometry in slow-transit constipation. Am J Gastroenterol. 2004;99(12):2405-16. [PMID:15571589]
- Furukawa Y, Cook IJ, Panagopoulos V, et al. Relationship between sleep patterns and human colonic motor patterns. Gastroenterology. 1994;107(5):1372-81. [PMID:7926501]
- Bampton PA, Dinning PG, Kennedy ML, et al. Prolonged multi-point recording of colonic manometry in the unprepared human colon: providing insight into potentially relevant pressure wave parameters. Am J Gastroenterol. 2001;96(6):1838-48. [PMID:11419837]
- Cremonini F, Delgado-Aros S, Camilleri M. Efficacy of alosetron in irritable bowel syndrome: a meta-analysis of randomized controlled trials. Neurogastroenterol Motil. 2003;15(1):79-86. [PMID:12588472]
- Camilleri M. Is there an experimental basis for the development of ischaemic colitis as a result of 5-HT3 antagonist treatment? Neurogastroenterol Motil. 2007;19(2):77-84. [PMID:17244161]
- Ford AC, Suares NC. Effect of laxatives and pharmacological therapies in chronic idiopathic constipation: systematic review and meta-analysis. Gut. 2011;60(2):209-18. [PMID:21205879]
- Bouras EP, Camilleri M, Burton DD, et al. Prucalopride accelerates gastrointestinal and colonic transit in patients with constipation without a rectal evacuation disorder. Gastroenterology. 2001;120(2):354-60. [PMID:11159875]
- Ao M, Venkatasubramanian J, Boonkaewwan C, et al. Lubiprostone activates Cl- secretion via cAMP signaling and increases membrane CFTR in the human colon carcinoma cell line, T84. Dig Dis Sci. 2011;56(2):339-51. [PMID:21140215]
- Sweetser S, Busciglio IA, Camilleri M, et al. Effect of a chloride channel activator, lubiprostone, on colonic sensory and motor functions in healthy subjects. Am J Physiol Gastrointest Liver Physiol. 2009;296(2):G295-301. [PMID:19033530]
- Schey R, Rao SS. Lubiprostone for the treatment of adults with constipation and irritable bowel syndrome. Dig Dis Sci. 2011;56(6):1619-25. [PMID:21523369]
- Manabe N, Cremonini F, Camilleri M, et al. Effects of bisacodyl on ascending colon emptying and overall colonic transit in healthy volunteers. Ailment Pharmacol Ther. 2009;30:930–6.
- Ewe K, Hölker B. [The effect of a diphenolic laxative (Bisacodyl) on water- and electrolyte transport in the human colon (author's transl)]. Klin Wochenschr. 1974;52(17):827-33. [PMID:4449188]
- Kamm MA, Dudding TC, Melenhorst J, et al. Sacral nerve stimulation for intractable constipation. Gut. 2010;59(3):333-40. [PMID:20207638]
- Dinning PG, Fuentealba SE, Kennedy ML, et al. Sacral nerve stimulation induces pan-colonic propagating pressure waves and increases defecation frequency in patients with slow-transit constipation. Color Dis. 2007;9:123–32.
- Garner CE, Smith S, de Lacy Costello B, et al. Volatile organic compounds from feces and their potential for diagnosis of gastrointestinal disease. FASEB J. 2007;21(8):1675-88. [PMID:17314143]
- Spohn SN, Young VB. Gastrointestinal microbial ecology with perspectives on health and disease. In: Physiology of the gastrointestinal tract. 6th ed: Elsevier; 2018. p. 737–53.
- Ahmed I, Greenwood R, Costello Bde L, et al. An investigation of fecal volatile organic metabolites in irritable bowel syndrome. PLoS One. 2013;8(3):e58204. [PMID:23516449]
- Nyangale EP, Mottram DS, Gibson GR. Gut microbial activity, implications for health and disease: the potential role of metabolite analysis. J Proteome Res. 2012;11(12):5573-85. [PMID:23116228]
- Adams JB, Johansen LJ, Powell LD, et al. Gastrointestinal flora and gastrointestinal status in children with autism--comparisons to typical children and correlation with autism severity. BMC Gastroenterol. 2011;11:22. [PMID:21410934]
- Imhann F, Vich Vila A, Bonder MJ, et al. Interplay of host genetics and gut microbiota underlying the onset and clinical presentation of inflammatory bowel disease. Gut. 2018;67(1):108-119. [PMID:27802154]
- Nitzan O, Elias M, Peretz A, et al. Role of antibiotics for treatment of inflammatory bowel disease. World J Gastroenterol. 2016;22(3):1078-87. [PMID:26811648]
- NIH HMP Working Group, Peterson J, Garges S, et al. The NIH Human Microbiome Project. Genome Res. 2009;19(12):2317-23. [PMID:19819907]
- Proctor LM. The Human Microbiome Project in 2011 and beyond. Cell Host Microbe. 2011;10(4):287-91. [PMID:22018227]
- Gevers D, Knight R, Petrosino JF, et al. The Human Microbiome Project: a community resource for the healthy human microbiome. PLoS Biol. 2012;10(8):e1001377. [PMID:22904687]
- Human Microbiome Project Consortium. Structure, function and diversity of the healthy human microbiome. Nature. 2012;486(7402):207-14. [PMID:22699609]
- Human Microbiome Project Consortium. A framework for human microbiome research. Nature. 2012;486(7402):215-21. [PMID:22699610]
- Integrative HMP (iHMP) Research Network Consortium. The Integrative Human Microbiome Project: dynamic analysis of microbiome-host omics profiles during periods of human health and disease. Cell Host Microbe. 2014;16(3):276-89. [PMID:25211071]
- Bouchie A. White House unveils National Microbiome Initiative. Nat Biotechnol. 2016;34(6):580. [PMID:27281400]
- Ley RE, Peterson DA, Gordon JI. Ecological and evolutionary forces shaping microbial diversity in the human intestine. Cell. 2006;124(4):837-48. [PMID:16497592]
- Sullivan A, Edlund C, Nord CE. Effect of antimicrobial agents on the ecological balance of human microflora. Lancet Infect Dis. 2001;1(2):101-14. [PMID:11871461]
- De La Cochetiere MF, Durand T, Lalande V, et al. Effect of antibiotic therapy on human fecal microbiota and the relation to the development of. Microb Ecol. 2008;56:395–402.
- Dethlefsen L, Huse S, Sogin ML, et al. The pervasive effects of an antibiotic on the human gut microbiota, as revealed by deep 16S rRNA sequencing. PLoS Biol. 2008;6(11):e280. [PMID:19018661]
- Modi SR, Collins JJ, Relman DA. Antibiotics and the gut microbiota. J Clin Invest. 2014;124(10):4212-8. [PMID:25271726]
ASCRS Textbook of Colon and Rectal Surgery

