Consensus Definitions and Interpretation Templates for Magnetic Resonance Imaging of Defecatory Pelvic Floor Disorders
Proceedings of the Consensus Meeting of the Pelvic Floor Disorders Consortium of the American Society of Colon and Rectal Surgeons, the Society of Abdominal Radiology, the International Continence Society, the American Urogynecologic Society, the International Urogynecological Association, and the Society of Gynecologic Surgeons
Brooke H. Gurland, M.D.1 ♦ Gaurav Khatri, M.D.2 ♦ Roopa Ram, M.D.3 ♦ Tracy L. Hull, M.D.4 ♦ Ervin Kocjancic, M.D.5 ♦ Lieschen H. Quiroz, M.D.6 ♦ Rania F. El Sayed, M.D.7 ♦ Kedar R. Jambhekar, M.D.3 ♦ Victoria Chernyak, M.D., M.S.8 ♦ Raj Mohan Paspulati, M.D.9 ♦ Vipul R. Sheth, M.D., Ph.D.10 ♦ Ari M. Steiner, M.D.11 ♦ Amita Kamath, M.D.12 ♦ S. Abbas Shobeiri, M.D., M.B.A.13 ♦ Milena M. Weinstein, M.D.14 ♦ Liliana Bordeianou, M.D., M.P.H.15
On Behalf of the Members of the Expert Workgroup on Magnetic Resonance Imaging of Pelvic Floor Disorders
Dis Colon Rectum 2021; 64: 1184–1197[1]
1 Division of Colorectal Surgery, Stanford University, Palo Alto, California
2 Department of Radiology, University of Texas Southwestern Medical Center, Dallas, Texas
3 Department of Radiology, University of Arkansas for Medical Sciences, Little Rock, Arkansas
4 Department of Colorectal Surgery, Cleveland Clinic Hospitals, Cleveland, Ohio
5 Department of Urology, College of Medicine University of Illinois, Chicago, Illinois
6 Department of Obstetrics & Gynecology, University of Oklahoma, Oklahoma City, Oklahoma
7 Department of Radiology, Cairo University Pelvic Floor Centre of Excellency and Research Lab, Faculty of Medicine, Cairo University Hospitals, Cairo, Egypt
8 Department of Radiology, Albert Einstein College of Medicine, Montefiore Medical Center, The Bronx, New York
9 Department of Radiology, University Hospitals Cleveland Medical Center, Cleveland, Ohio
10 Department of Radiology, Stanford University, Palo Alto, California
11 Department of Radiology, Mount Sinai South Nassau Hospital, Oceanside, New York
12 Department of Radiology, Icahn School of Medicine at Mount Sinai, New York, New York
13 Department of Obstetrics & Gynecology, University of Virginia, INOVA Women’s Hospital, Falls Church, Virginia
14 Department of Obstetrics & Gynecology, Massachusetts General Hospital Pelvic Floor Disorders Center, Harvard Medical School, Boston, Massachusetts
15 Department of Gastrointestinal Surgery, Massachusetts General Hospital Pelvic Floor Disorders Center, Harvard Medical School, Boston, Massachusetts
Funding/Support: None reported.
Financial Disclosure: None reported.
Brooke H. Gurland, Gaurav Khatri, and Roopa Ram contributed equally to this work (first co-authors and chairs of the MRI working group).
Endorsement: This consensus has been endorsed by all 6 supporting societies.
Citation: This article is being published concurrently in Diseases of the Colon & Rectum, American Journal of Roentgenology, International Urogynecological Journal, and Female Pelvic Medicine and Reconstructive Surgery Journal. The articles are identical except for minor stylistic and spelling differences in keeping with each journal’s style. Citation from any of the 4 journals can be used when citing this article.
© 2021 The American Society of Colon and Rectal Surgeons; © 2021 American Urogynecologic Society. All rights reserved.; © American Roentgen Ray Society; © The International Urogynecological Association 2021
Correspondence: Liliana Bordeianou, M.D., M.P.H., Massachusetts General Hospital Surgery, 55 Fruit St, GRB 425, Boston, MA 02114. E-mail: lbordeianou@partners.org
Introduction
The Pelvic Floor Disorders Consortium (PFDC) is a multidisciplinary organization of colorectal surgeons, urogynecologists, urologists, gynecologists, gastroenterologists, radiologists, physiotherapists, and other advanced care practitioners. Specialists from these fields are all dedicated to the diagnosis and management of patients with pelvic floor conditions, but they approach, evaluate, and treat such patients with their own unique perspectives given the differences in their respective training. The PFDC was formed to bridge gaps and enable collaboration between these specialties. The goal of the PFDC is to develop and evaluate educational programs, create clinical guidelines and algorithms, and promote high quality of care in this unique patient population. The recommendations included in this document represent the work of the PFDC Working Group on Magnetic Resonance Imaging of Pelvic Floor Disorders (members listed alphabetically in Table 1). The objective was to generate inclusive, rather than prescriptive, guidance for all practitioners, irrespective of discipline, involved in the evaluation and treatment of patients with pelvic floor disorders.
Statement of the Problem
Magnetic resonance defecography (MRD) has emerged and continues to evolve as a powerful tool for dynamic evaluation of pelvic floor function. Magnetic resonance defecography provides multicompartment visualization and is able to evaluate the complex and dynamic interplay of the 3 pelvic floor compartments.[2] In addition to providing global assessment of pelvic floor function, MRD can provide exquisite assessment of the pelvic floor anatomy because of its high-contrast resolution. Known limitations of MRD include the varied techniques used in performing this examination as well as the differences in nomenclature and reporting of MRD findings across different institutions and subspecialties. Furthermore, various experts involved in the care of patients with pelvic floor dysfunction sometimes use different definitions for the same condition and various thresholds for grading severity, consequently hindering consistent and effective communication between clinicians in the same institution and across institutions.
To help standardize MRD technique, expert radiologists from the Pelvic Floor Dysfunction Disease Focused Panel of the Society of Abdominal Radiology (SAR) have recently published recommendations for MRD protocol and technique.[3] However, these recently published recommendations from the SAR as well as other previous publications on dynamic MRD of the pelvic floor have lacked substantial multidisciplinary input from clinicians in other specialties.[4],[5] Consequently, there is a lack of shared understanding and “cross-talk” between various specialties involved in the care of patients with pelvic floor dysfunction, resulting in high variability in how different physicians and specialties interpret and utilize findings seen on MRD. This is of particular concern in this field of pelvic floor disorders, where patients often have recurrent or multifactorial symptomatology and seek care from multiple different specialists serially. Furthermore, multiple health care providers may be managing different aspects of pelvic floor dysfunction in the same patient in parallel. This can frequently create misunderstandings and confusion for both health care providers and patients. Thus, this effort was undertaken with the explicit goal of inviting and including representatives from all relevant clinical specialties for whom MRD holds clinical significance. The goal of this effort was to create a universal set of recommendations and language for MRD technique, interpretation, and reporting that can be utilized and carry the same significance across disciplines. Notably, pelvic floor disorders can manifest in both male and female patients. These recommendations do not make a distinction based on patient sex; however, certain recommendations may only be applicable to female pelvic floor anatomy, and normal criteria for pelvic floor imaging in male patients are less well established.
Methodology
This document was created at the initiative of the Pelvic Floor Disorders Consortium (PFDC) Working Group on MRI. The PFDC is composed of a volunteer cohort of clinicians with demonstrated expertise in the care and treatment of pelvic floor conditions. The working group was created by enlisting Pelvic Floor Consortium volunteers. Invitation criteria included leadership in the field of pelvic floor disorders with academic scholarship and a history of interdisciplinary collaboration. Members of the working group participated in preliminary group phone calls and researched assigned topics (Table 1). A radiologist was paired with a clinical specialist for each of the working group topics. An organized search of MEDLINE, PubMed, EMBASE, and the Cochrane Database of Collected Reviews was performed on July 1, 2018, and repeated on September 1, 2018. Retrieved publications were limited to the English language but no limits on year of publication were applied. The search terms included: “Dynamic MRI,” “Dynamic pelvic floor MR,” “MR defecography,” “Pelvic floor MR,” “Positioning for MR defecography,” “levator descent,” “pelvic organ prolapse,” “rectocele,” “rectal emptying,” “cystocele,” “rectal intussusception,” “Culde-sac hernias pelvic floor,” “uterine prolapse,” “Vaginal prolapse,” “urethral hypermobility,” “pubococcygeal line,” “pelvic floor dyssynergia,” and “anorectal angle.” Each working group pair identified the updated literature on the assigned relevant topic or point of controversy regarding MRD technique and/or reporting and performed a careful review of the pertinent literature using a standardized literature review format. A collective summary document of the researched topics was generated and used as a reference to steer discussion at the PFDC meeting. The working group presented their preliminary research to the consortium at large for further discussion.
Name and degree | Affiliation | City, state, country |
Jennifer Ayscue, M.D. | Division of Colorectal Surgery, MedStar Washington Hospital Center | North Washington, DC, USA |
Pedro Basilio, M.D. | Department of Colorectal Surgery, Clinica de Saúde Intestinal | Rio de Janeiro, Brazil |
Victoria Chernyak, M.D. | Department of Radiology, Albert Einstein College of Medicine, Montefiore Medical Center | The Bronx, NY, USA |
Rania Farouk El Sayed, M.D. | Cairo University Pelvic Floor Centre of Excellency and Research Lab, Department of Radiology, Faculty of Medicine, Cairo University Hospitals. | Cairo, Egypt |
Brooke Gurland, M.D. | Division of Colorectal Surgery. Stanford University | Palo Alto, CA, USA |
Cynthia Hall, M.D. | Department of Obstetrics and Gynecology UMass Memorial Medical Center | Worcester, MA, USA |
Karin Herrmann, M.D. | Department of Radiology, University Hospitals of Cleveland | Cleveland, OH, USA |
Kedar Jambhekar, M.D. | Department of Radiology, University of Arkansas for Medical Sciences, | Little Rock, AR, USA |
Andreas M. Kaiser, M.D. | Division of Colorectal Surgery, City of Hope National Cancer Center | Duarte, CA, USA |
Amita Kamath, M.D. | Department of Radiology, Icahn School of Medicine at Mount Sinai | New York, NY, USA |
Gaurav Khatri, M.D. | Department of Radiology, University of Texas Southwestern Medical Center | Dallas, TX, USA |
Erin Kocjancic, M.D. | Department of Urology College of Medicine University of Illinois | Chicago, IL, USA |
Khashayar Rafatzand, M.D. | Department of Radiology, UMass Memorial Medical Center | Worcester, MA, USA |
Luz Maria Rodriguez, M.D. | Division of Colorectal Surgery National Cancer Institute | Rockville, MD, USA |
Kavita Mishra, M.D. | Department of Obstetrics and Gynecology, Stanford University | Palo Alto, CA, USA |
Leila Neshatian, M.D. | Division of Gastroenterology, Stanford University | Palo Alto, CA, USA |
Erin O’Neill, M.D. | Department of Radiology, MedStar Washington Hospital Center | North Washington, DC, USA |
Albert Parlade, M.D. | Department of Radiology, Cleveland Clinic | Weston, FL, USA |
Raj Mohan Paspulati, M.D. | Department of Radiology, University Hospitals Cleveland Medical Center | Cleveland, OH USA |
Roopa Ram, M.D. | Department of Radiology, University of Arkansas for Medical Sciences | Little Rock, AR, USA |
Vipul Sheth, M.D. | Department of Radiology, Stanford University | Palo Alto, CA, USA |
Ari Steiner, M.D. | Department of Radiology, Mount Sinai South Nassau Hospital | Oceanside, NY, USA |
Raveen Syan, M.D. | Department of Urology, University of Miami Miller School of Medicine | Miami, FL, USA |
Amber Traugott, M.D. | Division of Colorectal Surgery, The Ohio State University Wexner Medical Center | Columbus, OH, USA |
Pelvic Floor Consortium Expert Meeting
The Pelvic Floor Consortium Expert Meeting convened on June 2, 2019, in Cleveland, Ohio. It was hosted and funded by the American Society of Colon and Rectal Surgeons (ASCRS) and included 126 in-person (or online) volunteer participants from North America, Europe, and Asia. These experts belonged to several subspecialties (colorectal surgery, gastroenterology, urogynecology, urology, physiotherapy, and radiology), and professional societies involved in the diagnosing and treating of pelvic floor disorders. The event was also audited by formal representatives from the ASCRS, the SAR, the International Continence Society, the American Urogynecologic Society, the International Urogynecology Association, and the Society Gynecologic Surgeons who then reported back to their leadership on the event.
The participants at the expert consensus meeting analyzed all the proposed radiological definitions measuring each of the conditions reviewed in this statement, ultimately recommending a synoptic reporting template that included the recommended steps for a thorough and clinically relevant examination, as well as the clinically relevant radiological definitions for common evacuatory pelvic floor disorders seen on defecography. They labeled this final template as the “Magnetic Resonance Imaging Defecography Interpretation Template for the Initial Measurement of Patient Reported Pelvic Floor Complaints” or “MRI-IMPACT” (Table 2). For a recommendation to be included in the MRI-IMPACT template, an expert consensus was required. Consensus was defined as at least 70% agreement or more from the voting participants. When consensus was not reached, the workgroups performed additional research and literature reviews to clarify any questions raised during the meeting. A subsequent committee meeting was held to conduct final voting on the recommendations and definitions listed in the MRI-IMPACT document, while keeping the directives of the expert consensus panel discussions in mind.
EXAMINATION: MRI defecography (pelvis) without intravenous contrast
Intravenous contrast: None COMPARISON: [Prior study used for comparison] Anatomic Evaluation
Functional Evaluation
Anterior Compartment
Levator hiatus and perineal/anorectal descent Levator hiatus (H-line):
Posterior Compartment
IMPRESSION
AP = anterior-posterior; NA = not available; PCL = pubococcygeal line. |
Final Review
Once the document was finalized, the proposed recommendations were presented for review by the ASCRS Pelvic Floor Disorders Steering Committee. This Steering Committee is directed to develop clinical practice recommendations on colorectal pelvic floor disorders based on best available evidence. The ASCRS Steering Committee edited the document and sent it to the ASCRS Executive Committee for final approval for publication. Similar reviews and endorsements were also given by the American Urogynecologic Society Publications Committee, the SAR Board of Directors and SAR Disease Focused Panel on Pelvic Floor Dysfunction, the International Continence Society Board of Directors, the International Urogynecology Association Board of Directors, and the Executive Board of the Society Gynecologic Surgeons.
Recommendations
General Considerations
Magnetic resonance defecography can be performed in upright or supine positions. The upright, or sitting, position is more physiologic and maximizes the impact of gravity to stimulate defecation. Defecation in the supine position can be difficult or even impossible for individuals who depend on gravity or various maneuvers such as digital splinting to effectively empty their bowels. However, most institutions lack open magnets to perform upright imaging, and the widely available closed magnets have excellent performance for MRD in the supine position. Literature comparing supine MRD to upright studies have produced variable results. A study comparing supine to upright MRD in the same patient population demonstrated lower positions of the bladder and vagina during upright MRD, but no significant difference in position of the anorectal junction.[6] A study by Gufler et al[7] demonstrated that supine MRD and upright colpocystography were not significantly different in terms of depiction of anterior and middle compartment prolapse. However, Kelvin et al[8] showed that supine MRD underestimated cystoceles and enteroceles compared to upright fluoroscopic defecography. More recently, a study assessing anterior compartment prolapse showed more severe anterior prolapse and urethral hypermobility on supine MRD than on upright voiding cystourethrogram.[9] For posterior compartment pathology (perineocele, rectocele, rectal prolapse, and anismus), Poncelet et al[10] retrospectively compared upright fluoroscopic defecography to supine MRD in 50 women and revealed similar diagnostic sensitivities. van Iersel et al[11] demonstrated that supine MRD was less sensitive than fluoroscopic defecography for diagnosing rectocele and enterocele but was superior in detection for intussusception. Foti et al[12] demonstrated no significant differences between fluoroscopic defecography and supine MRD for evaluating outlet obstructive syndrome.
Given the variable results from different studies, consortium members agreed that it is acceptable to perform MRD in the supine position when upright MRD is not available. Importantly, consortium experts stressed that it is very important that this imaging be performed following proper patient education on the purpose of the examination. The purpose of this education is to promote patient participation during acquisition of the defecation sequences; the importance of adequate patient effort is further discussed below.[3],[13],[14],[15],[16]
Patient participation is essential to obtain a successful and meaningful MRD examination. The consortium experts agreed that educating patients before the examination regarding what to expect and the sequence of events during the study results in a more meaningful examination. Patients are instructed to rest, then perform full defecation of gel on command with maximum effort to empty. Referring physicians can initiate this process of patient preparation by explaining the examination and its value for patient management to the patients either in person or on the phone before, or at the time of, ordering the examination. Referring physicians should emphasize the value of optimal patient defecatory effort during the study to achieve the most diagnostic results. Written educational material or trusted online resources were recommended to educate patients about the examination before their arrival at the radiology department. Knowledge of what to expect during the examination can help alleviate patient anxiety and minimize embarrassment during this unique examination. The patients should be given an opportunity to discuss any questions or concerns on arrival at the radiology department. Furthermore, the consortium experts emphasized that it is important for radiologists or technologists to coach the patients before starting the examination so they can follow instructions appropriately, resulting in the best quality examination. Technical terms such as “Kegel,” “Valsalva,” and “defecation” should be explained in layman’s language before patients are positioned in the MRI machine and before the rectal gel is inserted.[3] The Kegel maneuver may be explained as maximal pelvic floor squeeze as if trying to prevent the passage of feces or urine; the Valsalva maneuver may be explained as bearing down on the pelvic floor maximally without evacuating any rectal contents; and defecation may be explained as bearing down maximally with complete evacuation of rectal contents. The patient should be instructed to sustain each maneuver for the duration of image acquisition as instructed by the radiology personnel performing the examination. Such proactive coaching is important to alleviate any confusion on the part of the patient during image acquisition.
Contrast Considerations
Based on the evidence in the literature and the experience of the experts, the consortium recommended that MRD should be performed with rectal distention using rectal contrast, and with acquisition of images during defecation. Rectal distention and defecation are critical elements of an MRD examination and differentiate it from simple dynamic pelvic floor MRI performed with the Valsalva maneuver. Multiple studies have shown larger and/or more frequent prolapse on MRD examinations with rectal distention and on defecation images compared to Valsalva images (Fig. 1).[13],[14],[15],[16],[17] Rectal distention is an essential element of the technique to obtain images during defecation. Although various institutions have described protocols with different agents for rectal distention, most centers use ultrasound gel or lubricating jelly inserted in the rectum by using hand injection with a catheter tip syringe. This is easy to administer and is typically well tolerated by patients, although, in theory, the gel consistency may preclude adequate assessment of stool retention within rectoceles and, in other cases, may not induce the urge to defecate as would a more solid consistency of contrast. To our knowledge, there is no convincing evidence in the literature supporting the use of one consistency of rectal contrast over another for MRD. The volume of contrast used also varies widely between institutions, ranging from 60 mL to over 250 mL. Although there is a paucity of literature assessing the most appropriate volume of contrast in the rectum, a small study found no significant difference in the success of defecatory effort when comparing rectal distention with 120 mL compared to 180 mL and advocated use of the lower volume to minimize patient discomfort and risk of masking prolapse in other compartments due to rectal overdistention.[18] Although the consortium experts did not specify the exact volume of rectal contrast to be used, practices should strive to use an appropriate volume that successfully induces defecatory urge without overdistending the rectum. One strategy may be to start with 60 or 120 mL of rectal contrast and increase the volume if the patient does not report fullness or an adequate urge to defecate. The volume of rectal contrast used should be stated in the report.
Some institutions use vaginal contrast on MRD in female patients to assist in detection of vaginal vault prolapse, and authors have reported using volumes ranging from 5 to 60 mL,[16],[17],[18],[19] but there is no convincing evidence in the literature to support routine use of vaginal contrast during MRD. Given its high spatial and contrast resolution, MRI allows direct visualization of soft tissue structures in the pelvis such as the anterior and posterior vaginal walls and vaginal apex (Figs. 2 and 3), precluding the need for routine use of vaginal contrast[20] and avoiding the added burden on patient privacy and discomfort.[3],[4] Furthermore, if the vaginal contrast is not expelled during the examination, it could conceivably mask vaginal prolapse (descent of vaginal apex below the pubococcygeal line (PCL)) or prolapse in other compartments. Thus, there was consensus among the experts against the routine use of vaginal contrast for MRD.
Technique and Reporting/grading of Relevant Pathology
1.
A) Findings on MRD are highly dependent on patient effort during defecation, which should be reported as “good,” “moderate,” or “poor” to provide clinical context (Degree of consensus: 100%).
B) Furthermore, patients should be coached to attempt defecation until complete rectal emptying is achieved or at least 3 times during the examination (Degree of consensus: 88%).
C) Following defecation, the degree of evacuation should be assessed subjectively and reported as a function of initial rectal volume in thirds. The presence and location of contrast retention during maximal defecatory effort should be described (Degree of consensus: 80%).
It is important to note that, based on their clinical experience and evidence in the literature, experts emphasized that MRD images should be acquired during full defecation rather than only a maximal Valsalva maneuver..[13],[14] They observed that the artificial lack of rectal emptying during a Valsalva maneuver may limit the detection of prolapse and may result in an underestimation of pelvic floor pathology on MRD.[21] Thus, experts recommended not requiring a Valsalva phase of image acquisition during MRD, but rather proceeding directly to a defecation phase, where patients are encouraged to achieve complete or nearcomplete rectal emptying. Because rectal emptying can be difficult to achieve on command, experts recommended acquiring images during a minimum of 3 evacuation attempts, in particular, in cases when the rectum fails to fully empty during the initial attempts.[22] In such cases, the later defecation images often demonstrate a larger degree of prolapse or new defects that may have been occult on earlier attempts (Figs. 2 and 4). Regardless of order, the set of images demonstrating the maximal degree of effort or largest degree of dysfunction should be used for measurement. Contrast reinstallation is not needed during these repeat defecation acquisitions. Patients who do not evacuate during the examination may be asked to attempt to defecate in a restroom (by splinting the perineum or by digital manipulation if needed) to empty the rectum. This should be followed by acquiring an additional set of MR images during maximal Valsalva (postdefecation Valsalva maneuver) to demonstrate any prolapse that may have been masked by a full or only partially empty rectum on the earlier attempted defecation images. These images should be labeled appropriately for subsequent review.
The report should also comment on the adequacy of the defecatory effort that can be evaluated by direct patient observation during the examination and by assessing for abdominal wall motion on the sagittal images during attempts at defecation. The presence of anterior bulging of the abdominal wall with absence of rectal contrast evacuation may suggest true defecatory dysfunction. The absence of abdominal wall motion in this scenario may indicate poor effort.[3],[4] Once the rectum empties, the degree of rectal evacuation should be quantified by reporting the amount of evacuated contrast as a function of the baseline rectal contrast volume in thirds (ie, one-third, two-thirds, or all baseline rectal contrast volume was evacuated). The experts also agreed that the location of retained contrast during defecation should be reported because it may have clinical relevance in the evaluation and treatment of defecatory dysfunction conditions (eg, retention of contrast focally within a rectocele versus more proximal contrast retention in the upper rectum due to mass effect from a cul-de-sac hernia or above the level of rectal intussusception). This may allow differentiation between various causes of impaired rectal evacuation such as pelvic floor dyssynergia, stool entrapment secondary to a rectocele, rectal intussusception, or cul-de-sac hernia (see recommendation 7).
There is an increasing appreciation that most patients with pelvic organ prolapse experience dual or even triple compartment pathology, making it important to describe the observations in all 3 compartments to ensure the mobilization of the appropriate team of experts to treat the patient. Thus, the consortium experts agreed that the presence of prolapse in anterior (cystocele), apical (vaginal/ uterine prolapse), and posterior compartments (including perineal descent, rectocele, cul-de-sac hernia, rectal prolapse) should be described and quantified to help clinicians consider the appropriate surgical options.
Various landmarks and lines have been used as reference lines against which one can describe the movement of the pelvic floor. The PCL is the most widely used reference line, and has higher interobserver agreement reported among radiologists than with other landmarks.[23] The PCL is also recommended for assessment of prolapse by the European Society of Urogenital Radiology and the European Society of Gastrointestinal and Abdominal Radiology working group on pelvic floor imaging.[4] The PCL is drawn on sagittal images from the inferior point of the pubic symphysis to the last coccygeal joint (Fig. 5). The position of various pelvic organs (bladder, vaginal apex/cervix) and structures (cul-de-sac hernia, anorectal junction) can then be measured in centimeters using lines drawn perpendicular to the PCL. These measurements are made at rest and defecation and allow grading of prolapse according to previously published criteria.[4]
In discussing the use of PCL versus other possible landmarks, experts proposed the PCL as most appropriate because it is not influenced by pelvic tilt and may thus be more reliably reproducible among centers.[24] The PCL has also shown good correlation with clinical examination for anterior and apical compartment prolapse, providing further reassurance as to its clinical significance.[25] The mid-pubic line (MPL), drawn through the long axis of the pubic symphysis, was considered as a possible reference (Fig. 5) but not recommended because of higher reported inter- and intraobserver variability.[23] Although studies have shown that, in asymptomatic women, using the MPL as a reference standard results in a higher observed frequency of posterior compartment prolapse than the PCL, this finding was felt to be of uncertain significance.[26]
3.
A) Cul-de-sac hernias, such as enteroceles, sigmoidoceles, or peritoneoceles, should be described by measuring their extent below the PCL (in centimeters) (Degree of consensus: 73%).
B) Also specifying, in women, the lowest point of the hernia sac in relation to the vagina (“top of vagina,” “middle of vagina,” or “on pelvic floor”) (Degree of consensus: 79%).
C) Additional grading of pathology as low/moderate/high grade may not be clinically relevant (Degree of consensus: 70%).
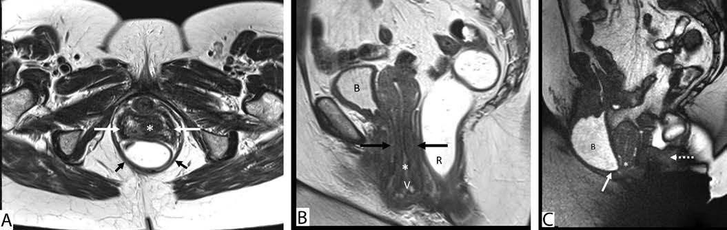
Cul-de-sac structures such as enteroceles (containing the small bowel), sigmoidoceles (containing the sigmoid colon), or peritoneoceles (containing peritoneal fat only) can be visualized in the space between the rectum and the vagina.[27] These cul-de-sac hernias tend to be clinically relevant when they enter the rectovaginal space, causing mass effect on and potentially obstructing the vagina, the rectum, or both. This can occur regardless of their size or extent below the PCL. Imaging may help differentiate the cul-desac hernia from rectocele as a cause of posterior vaginal bulge on physical examination, and, in some cases, enteroceles may be occult or confused with rectoceles on physical examination[28] (see Video 1 at http://links.lww.com/ DCR/B651) . Following extensive discussions, the experts agreed that the best radiological description of cul-de-sac hernias on MRD should include not only measurement of their extension below the PCL, but also description of the relationship to the vaginal apex (Fig. 4). It is not always clear when surgical intervention is indicated for cul-de-sac hernias, but careful descriptions of these observations can help foster a better understanding of these phenomena and help guide future care.[29] Experts also stressed that in light of patient symptoms, given the lack of consensus on how these findings should be treated and the fact that their relevance is based on associated clinical findings, the MRD reports should not grade these as mild, moderate, or severe. In cases of incomplete or inadequate defecation, the reports should indicate a description as to whether these hernia contents appear to obstruct the rectum, thus preventing complete emptying. It is also important to note that incomplete rectal emptying or inadequate defecatory effort on MRD may decrease sensitivity for detection of cul-de-sac hernias, because these are often seen during end defecation or with an empty rectum. Finally, regardless of other dysfunction seen on the examination, it is important to always report the presence of any associated dysfunction of the levator muscles (as can be seen with dyssynergia) that would need treatment with biofeedback therapy before surgical intervention for the cul-de-sac hernia.
In addition to pelvic organ prolapse, many patients may present with perineal descent, which is thought to increase the rates of recurrent disease and overall patient dissatisfaction with their surgical repairs. The presence or absence of perineal descent can provide clinical context to the finding of pelvic organ prolapse and should thus be reported. Landmarks such as the H-line and the M-line can be used to assess hiatal widening and perineal descent. The H-line measures the anterior-posterior dimension of the pelvic floor hiatus and is drawn from the inferior tip of the pubic symphysis to the anorectal junction. The M-line is a perpendicular line drawn from the PCL to the posterior tip of the H-line at the anorectal junction and can be used as in indirect measure of perineal descent (Fig. 6) given the lack of other established measurements. The experts agreed that these 2 lines should be used to quantify levator hiatus widening and perineal descent during interpretation of MRD.
5.
A) Rectoceles should be quantified in centimeters by measuring the displacement of the anterior rectal wall from its position at rest to the maximally displaced position during evacuation (Degree consensus: 96%).
B) Further characterization should include information regarding rectocele and rectal emptying and, in women, the degree of concomitant displacement of the posterior vaginal wall, if any (Degree of consensus: 97%).
C) Additional grading of pathology as low/moderate/high grade or small/ medium/large may not be clinically relevant and should be avoided (Degree of consensus: 70%).
Posterior vaginal wall prolapse is often secondary to rectocele, which is defined as anterior bulging or ballooning of the rectum into the rectovaginal septum. Clinically, rectoceles may cause weakening and lengthening of the vaginal wall and manifest as a posterior vaginal bulge and/ or defecatory dysfunction. However, both rectoceles and cul-de-sac hernias can result in vaginal bulge on physical examination.[28] Furthermore, sometimes rectoceles apparent on clinical examination may not manifest on imaging with MRD. Experts discussed the relatively poor correlation between physical examination and imaging for the detection of rectocele. Decisions regarding appropriateness of surgical repair of rectoceles apparent on imaging and not on physical examination (or vice versa) are often multifactorial based on the patient- and clinicianrelated factors,[30],[31] and discussion of appropriate indications is outside the scope of these guidelines. Nonetheless, the consortium experts agreed that rectoceles should be described when seen on MRD and should be measured in maximal anterior-posterior dimension during defecation. A vertical drawn up from the anorectal junction during defecation extrapolates the normal location of the rectal wall at rest. A horizontal line drawn from this vertical line to the most maximally displaced portion of the anterior rectal wall should be considered the anterior-posterior dimension of the rectocele (Fig. 2C; see Video 2 http:// links.lww.com/DCR/B652) . Furthermore, any resultant deformity of the vaginal wall should be described. Similar to other findings, radiologists should avoid using language that implies severity or grading terminology such as mild/ moderate/severe because the imaging finding may not always correlate with patient symptomatology. Further comment should be made on whether the rectoceles empty with maximum effort or whether they retain contrast. It was noted that contrast retention within a rectocele on MRD does not always correlate with the finding of contrast retention on fluoroscopic defecography, presumably because of differences in consistency between the types of rectal contrast used for fluoroscopy and MRI. When a rectocele does not fully empty, a further comment should be made as to whether the patient can empty fully with digital splinting or manipulation. Furthermore, in patients who have a paradoxical occlusion of the anus or contraction of the puborectalis with defecation, a comment about the timing of the rectocele development in relationship to the timing of the paradoxical contraction of the pelvic floor can provide further insight into the best treatment approach to these patients.
Rectal intussusception in male or female patients refers to the infolding or telescoping of the rectum into the more distal rectum, anal canal, or through the anal sphincter muscles (external prolapse or full-thickness rectal prolapse).[32] Surgical correction of rectal intussusception is possible, but the radiological finding may coexist with nonsurgical conditions such as slow-transit constipation, pelvic floor dyssynergia, and irritable bowel syndrome, scenarios that may cause patients to have poorer surgical outcomes.[33] In this context, careful description and grading of the rectal intussusception is clinically significant. The literature on the proper timing and indications for surgery for this anatomical finding is evolving, although there seems to be consensus that the patients who present with, at a minimum, intra-anal intussusception and symptoms of fecal incontinence may benefit from surgical correction.[34] The observation of internal intussusception in the patient with concomitant dyssynergia of the pelvic floor and/or a concern of constipation is harder to address, and the current algorithms of care are more complex.
Given the evolving clinical context, the consortium experts debated which of 2 scales to use for grading internal rectal intussusception: descriptive reporting or the Oxford Grading Scale.[35] After much debate, the panel agreed that a consistent description of rectal intussusception as intrarectal, intra-anal, or complete external (extra-anal) would provide sufficient clinical information and should be used as the minimum reporting standard (Fig. 7). Notably, the term “rectal prolapse” is used clinically, in general, for cases of external rectum intussusception in both men and women. Thus, describing the intussusception of the rectum on imaging in terms of location (intraanal, intrarectal, external) may help minimize confusion. The alternative option of using the more detailed Oxford Scale scoring to quantify the mobility of the anterior rectal wall versus the posterior rectal wall circumferentially was much debated, but ultimately experts voted against mandating its inclusion in the minimum required reporting template (votes for the Oxford Scale: 67%, consensus not reached). These additional observations as to whether the intussusception is partial or circumferential, mucosal, or full thickness can be added when clinicians feel that these additional radiological observations may have implications on management. When describing rectal intussusception, further useful information could also be provided as to its perceived impact on rectal emptying and as to its timing in relation to the function of the puborectalis muscle and anus to initiate the act of defecation.
Functional defecatory dysfunction including pelvic floor dyssynergia, defined as paradoxical contraction of the levator ani muscles during defecation, is a potential cause of obstructive defecation in either male or female patients.[36],[37] The recognition of dyssynergic defecation is important because pelvic floor retraining and biofeedback is the only evidence-based treatment currently available.[38] Furthermore, untreated or unrecognized dyssynergia in the setting of other anatomical abnormalities can exacerbate symptoms, prompt premature surgery, and lead to poor long-term outcomes.[39] Nevertheless, there is no single standard test for the diagnosis of functional defecatory dysfunction and characterizing the pathology often requires a combination of clinical tests including anorectal manometry, electromyography, balloon expulsion test, and/or dynamic imaging.[40]
Defecography, compared to the other physiologic anorectal tests, has the advantage of providing both functional and structural information and should be considered an initial diagnostic test in the evaluation of patients with symptoms suggestive of defecatory dysfunction.[41] Magnetic resonance defecography is particularly adept at demonstrating the posterior rectal wall and levator plate to assess the levator function during defecation. The anorectal angle is measured on MRD at rest, during the Kegel maneuver, and defecation as the angle between a line along the posterior rectal wall and another line along the axis of the anal canal. One study reported that in healthy women the anorectal angle is approximately 100 ± 1° (mean ± SEM) at rest, narrows to 70 ± 2° at the Kegel maneuver, and widens to 120 ± 2° during evacuation.[42] Although the exact value of the angle may vary across a range, normally, the anorectal angle should widen during evacuation and narrow during the Kegel maneuver compared to its value at rest (Fig. 8). The imaging hallmark of a patient with dyssynergia, however, is paradoxical narrowing of the anorectal angle during defecation and Valsalva (Fig. 9). Thus, it is imperative to report not only the value but also the direction of change of the anorectal angle from baseline on MRD. Healthy male and female patients will have a wider angle during defecation than at rest. The consortium felt that a description of both the degree of change as well as the direction would be meaningful in clinical practice.
Conclusions
Consensus was reached by the PFDC on many clinically relevant considerations for performing, interpreting, and reporting MRI defecography. A corresponding synoptic interpretation template was suggested based on these consensus guidelines (Table 2). The described technique and template can be augmented with additional radiological maneuvers and report elements based on specific patient indications, health care provider preferences, and local practice patterns, but the suggested verbiage and steps should be advocated as the minimum requirements when performing and interpreting MRD in patients with evacuation disorders of the pelvic floor.
References
- Gurland BH, Khatri G, Ram R, et al. Consensus Definitions and Interpretation Templates for Magnetic Resonance Imaging of Defecatory Pelvic Floor Disorders: Proceedings of the Consensus Meeting of the Pelvic Floor Disorders Consortium of the American Society of Colon and Rectal Surgeons, the Society of Abdominal Radiology, the International Continence Society, the American Urogynecologic Society, the International Urogynecological Association, and the Society of Gynecologic Surgeons. Dis Colon Rectum. 2021;64(10):1184-1197. [PMID:34516442]
- Colaiacomo MC, Masselli G, Polettini E, et al. Dynamic MR imaging of the pelvic floor: a pictorial review. Radiographics. 2009;29(3):e35. [PMID:19270071]
- Lalwani N, Khatri G, El Sayed RF, et al. MR defecography technique: recommendations of the society of abdominal radiology's disease-focused panel on pelvic floor imaging. Abdom Radiol (NY). 2021;46(4):1351-1361. [PMID:31385010]
- El Sayed RF, Alt CD, Maccioni F, et al. Magnetic resonance imaging of pelvic floor dysfunction - joint recommendations of the ESUR and ESGAR Pelvic Floor Working Group. Eur Radiol. 2017;27(5):2067-2085. [PMID:27488850]
- Ramage L, Simillis C, Yen C, et al. Magnetic resonance defecography versus clinical examination and fluoroscopy: a systematic review and meta-analysis. Tech Coloproctol. 2017;21(12):915-927. [PMID:29094218]
- Iacobellis F, Brillantino A, Renzi A, et al. MR Imaging in Diagnosis of Pelvic Floor Descent: Supine versus Sitting Position. Gastroenterol Res Pract. 2016;2016:6594152. [PMID:26880893]
- Gufler H, Ohde A, Grau G, et al. Colpocystoproctography in the upright and supine positions correlated with dynamic MRI of the pelvic floor. Eur J Radiol. 2004;51(1):41-7. [PMID:15186883]
- Kelvin FM, Maglinte DD, Hale DS, et al. Female pelvic organ prolapse: a comparison of triphasic dynamic MR imaging and triphasic fluoroscopic cystocolpoproctography. AJR Am J Roentgenol. 2000;174(1):81-8. [PMID:10628459]
- Kumar NM, Khatri G, Christie AL, et al. Supine magnetic resonance defecography for evaluation of anterior compartment prolapse: Comparison with upright voiding cystourethrogram. Eur J Radiol. 2019;117:95-101. [PMID:31307659]
- Poncelet E, Rock A, Quinton JF, et al. Dynamic MR defecography of the posterior compartment: Comparison with conventional X-ray defecography. Diagn Interv Imaging. 2017;98(4):327-332. [PMID:28089181]
- van Iersel JJ, Formijne Jonkers HA, Verheijen PM, et al. Comparison of dynamic magnetic resonance defaecography with rectal contrast and conventional defaecography for posterior pelvic floor compartment prolapse. Colorectal Dis. 2017;19(1):O46-O53. [PMID:27870169]
- Foti PV, Farina R, Riva G, et al. Pelvic floor imaging: comparison between magnetic resonance imaging and conventional defecography in studying outlet obstruction syndrome. Radiol Med. 2013;118(1):23-39. [PMID:22744345]
- Pannu HK, Scatarige JC, Eng J. Comparison of supine magnetic resonance imaging with and without rectal contrast to fluoroscopic cystocolpoproctography for the diagnosis of pelvic organ prolapse. J Comput Assist Tomogr. 2009;33(1):125-30. [PMID:19188799]
- Flusberg M, Sahni VA, Erturk SM, et al. Dynamic MR defecography: assessment of the usefulness of the defecation phase. AJR Am J Roentgenol. 2011;196(4):W394-9. [PMID:21427302]
- Khatri G, Kumar NM, Xi Y, et al. Defecation versus pre- and post-defecation Valsalva maneuvers for dynamic MR assessment of pelvic floor dysfunction. Abdom Radiol (NY). 2021;46(4):1362-1372. [PMID:31494706]
- Arif-Tiwari H, Twiss CO, Lin FC, et al. Improved Detection of Pelvic Organ Prolapse: Comparative Utility of Defecography Phase Sequence to Nondefecography Valsalva Maneuvers in Dynamic Pelvic Floor Magnetic Resonance Imaging. Curr Probl Diagn Radiol. 2019;48(4):342-347. [PMID:30241870]
- Bhan SN, Mnatzakanian GN, Nisenbaum R, et al. MRI for pelvic floor dysfunction: can the strain phase be eliminated? Abdom Radiol (NY). 2016;41(2):215-20. [PMID:26867902]
- Khatri G, Bailey AA, Bacsu C, et al. Influence of rectal gel volume on defecation during dynamic pelvic floor magnetic resonance imaging. Clin Imaging. 2015;39(6):1027-31. [PMID:26253772]
- Bitti GT, Argiolas GM, Ballicu N, et al. Pelvic floor failure: MR imaging evaluation of anatomic and functional abnormalities. Radiographics. 2014;34(2):429-48. [PMID:24617690]
- Salvador JC, Coutinho MP, Venâncio JM, et al. Dynamic magnetic resonance imaging of the female pelvic floor-a pictorial review. Insights Imaging. 2019;10(1):4. [PMID:30689115]
- Hassan HH, Elnekiedy AM, Elshazly WG, et al. Modified MR defecography without rectal filling in obstructed defecation syndrome: Initial experience. Eur J Radiol. 2016;85(9):1673-81. [PMID:27501905]
- Tumbarello JA, Hsu Y, Lewicky-Gaupp C, et al. Do repetitive Valsalva maneuvers change maximum prolapse on dynamic MRI? Int Urogynecol J. 2010;21(10):1247-51. [PMID:20544342]
- Broekhuis SR, Kluivers KB, Hendriks JC, et al. Dynamic magnetic resonance imaging: reliability of anatomical landmarks and reference lines used to assess pelvic organ prolapse. Int Urogynecol J Pelvic Floor Dysfunct. 2009;20(2):141-8. [PMID:19002366]
- Yang A, Mostwin JL, Rosenshein NB, et al. Pelvic floor descent in women: dynamic evaluation with fast MR imaging and cinematic display. Radiology. 1991;179(1):25-33. [PMID:2006286]
- Lienemann A, Sprenger D, Janssen U, et al. Assessment of pelvic organ descent by use of functional cine-MRI: which reference line should be used? Neurourol Urodyn. 2004;23(1):33-7. [PMID:14694454]
- Rosenkrantz AB, Lewis MT, Yalamanchili S, et al. Prevalence of pelvic organ prolapse detected at dynamic MRI in women without history of pelvic floor dysfunction: comparison of two reference lines. Clin Radiol. 2014;69(2):e71-7. [PMID:24290773]
- Bremmer S, Mellgren A, Holmström B, et al. Peritoneocele: visualization with defecography and peritoneography performed simultaneously. Radiology. 1997;202(2):373-7. [PMID:9015060]
- Lin FC, Funk JT, Tiwari HA, et al. Dynamic Pelvic Magnetic Resonance Imaging Evaluation of Pelvic Organ Prolapse Compared to Physical Examination Findings. Urology. 2018;119:49-54. [PMID:29944912]
- Cronjé HS, de Beer JA. Culdocele repair in female pelvic organ prolapse. Int J Gynaecol Obstet. 2008;100(3):262-6. [PMID:17977539]
- Wallace SL, Torosis M, Rogo-Gupta L. Does Rectocele on Defecography Equate to Rectocele on Physical Examination in Patients With Defecatory Symptoms? Female Pelvic Med Reconstr Surg. 2021;27(1):18-22. [PMID:31390332]
- Hall GM, Shanmugan S, Nobel T, et al. Symptomatic rectocele: what are the indications for repair? Am J Surg. 2014;207(3):375-9; discussion 378-9. [PMID:24444857]
- Bordeianou L, Hicks CW, Kaiser AM, et al. Rectal prolapse: an overview of clinical features, diagnosis, and patient-specific management strategies. J Gastrointest Surg. 2014;18(5):1059-69. [PMID:24352613]
- Cavallaro PM, Staller K, Savitt LR, et al. The Contributions of Internal Intussusception, Irritable Bowel Syndrome, and Pelvic Floor Dyssynergia to Obstructed Defecation Syndrome. Dis Colon Rectum. 2019;62(1):56-62. [PMID:30451752]
- Blaker K, Anandam JL. Functional Disorders: Rectoanal Intussusception. Clin Colon Rectal Surg. 2017;30(1):5-11. [PMID:28144206]
- Wijffels NA, Jones OM, Cunningham C, et al. What are the symptoms of internal rectal prolapse? Colorectal Dis. 2013;15(3):368-73. [PMID:22823279]
- Bordeianou L, Savitt L, Dursun A. Measurements of pelvic floor dyssynergia: which test result matters? Dis Colon Rectum. 2011;54(1):60-5. [PMID:21160315]
- Rao SS, Bharucha AE, Chiarioni G, et al. Functional Anorectal Disorders. Gastroenterology. 2016. [PMID:27144630]
- Rao SS, Benninga MA, Bharucha AE, et al. ANMS-ESNM position paper and consensus guidelines on biofeedback therapy for anorectal disorders. Neurogastroenterol Motil. 2015;27(5):594-609. [PMID:25828100]
- Seong MK, Kim TW. Significance of defecographic parameters in diagnosing pelvic floor dyssynergia. J Korean Surg Soc. 2013;84(4):225-30. [PMID:23577317]
- Carrington EV, Scott SM, Bharucha A, et al. Expert consensus document: Advances in the evaluation of anorectal function. Nat Rev Gastroenterol Hepatol. 2018;15(5):309-323. [PMID:29636555]
- Grossi U, Di Tanna GL, Heinrich H, et al. Systematic review with meta-analysis: defecography should be a first-line diagnostic modality in patients with refractory constipation. Aliment Pharmacol Ther. 2018;48(11-12):1186-1201. [PMID:30417419]
- Tirumanisetty P, Prichard D, Fletcher JG, et al. Normal values for assessment of anal sphincter morphology, anorectal motion, and pelvic organ prolapse with MRI in healthy women. Neurogastroenterol Motil. 2018;30(7):e13314. [PMID:29498141]
ASCRS Toolkit - FREE Resources

