Anastomotic Complications

Anastomotic Leaks

Anastomotic complications are challenging clinical scenarios that are often associated with a temporary or permanent stoma, significant morbidity, and 3%–14% perioperative mortality. They are associated with decreased quality of life and prolonged disability and with higher healthcare resource utilization and cost.[1][2] Anastomotic leaks (ALs) after rectal cancer resection are associated with decreased overall survival (42%) and cancer-specific (67%) 5-year survival.[1]

The incidence of ALs ranges from 0.5% to 18% for colorectal and 5% to 19% for coloanal anastomoses.[3] AL may be clinically and radiographically apparent between 1–7 days postoperatively, but up to 50% of cases are diagnosed after discharge and 12%–30% are identified more than 30 days after surgery.[1][4][5][6] Small AL in the early postoperative period may be associated with low-grade fever and/or ileus while larger anastomotic defects may cause peritonitis and systemic sepsis. Patients with late leaks may present with insidious symptoms of pelvic pain and failure to thrive.[1][4][5][6] Clinical presentations vary because there is a spectrum of AL severity, ranging from minor staple line disruption to complete anastomotic dehiscence. Low colorectal and/or coloanal AL may present with less peritoneal inflammation than colorectal anastomotic leaks above the peritoneal refection. In addition, some AL may become walled-off by omentum or small bowel, resulting in initial containment of peritoneal soilage with blunted and delayed clinical presentation.

Patient-related risk factors for anastomotic leak include distal colorectal location, diabetes mellitus, hyperglycemia, high HgbA1C, male sex, higher body mass index (BMI), tobacco use, inflammatory bowel disease, chronic immunosuppressive medications, malnutrition, neoadjuvant radiation therapy, and advanced tumor stage.[1] The anastomosis should be without tension and with good blood supply. The need for blood transfusions may increase the risk for anastomotic leaks. Mechanical bowel preparation and oral antibiotics reduce the risk for anastomotic leaks.[7] The etiology of anastomotic leaks continues to require further study as they occur even when evidence-based perioperative guidelines are followed closely, patient risk factors are optimized, and intraoperative principles are strictly adhered to. The gut microbiome may have a role for anastomotic leaks in patients without other risk factors and is an area of active research.[1]

The impact of proximal fecal diversion on subsequent total mesorectal excision (TME) on subsequent AL is not entirely clear.[8] The role of proximal fecal diversion at the time of TME depends on the level of the anastomosis and the clinical status of the patient. Proximal fecal diversion may decrease septic complications and reoperations due to leaks, and many recommend diversion when the anastomosis is ≤6 cm from the anal verge, especially in patients with rectal cancer who are receiving neoadjuvant radiation. Many surgeons also perform diversion due to the concerns of additional impairment of bowel function that may occur with AL.[9] Because proximal fecal diversion is not without complications, including acute kidney injury from high output loop ileostomy and other complications associated with stoma closure,[8] the risks and benefits need to be weighed for each patient.

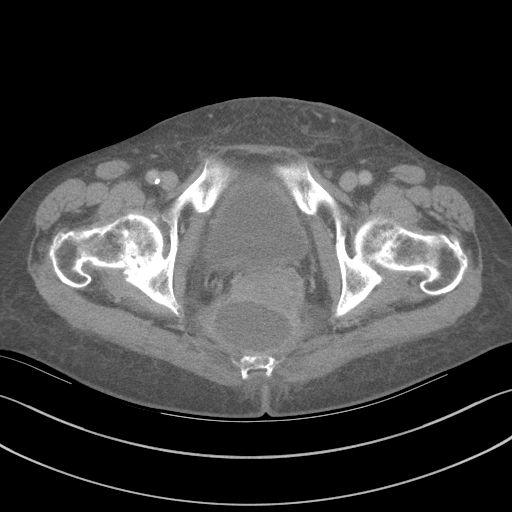
C-reactive protein and procalcitonin and other acute-phase reactant biomarkers have been studied in an effort to make an early AL diagnosis. Although there is no consensus, these biomarkers have reasonably good negative predictive value but lack positive predictive value.[10] Contrast enema and computed tomography (CT) are the most useful confirmatory diagnostic radiologic studies (Figure 1 and Figure 2). However, the diagnosis of AL at imaging is not always obvious, and there is little consensus on confirmatory findings.[1] Early postoperative CT may show an obvious leak with pneumoperitoneum or extraluminal extravasation of oral or rectal contrast. However, CT also may show rim-enhancing fluid collections or specks of free air that are equivocal for leaks.[1] Compared with contrast enema, CT has the added advantage of assessing the anastomotic defect circumferentially, detecting a contained leak, an abscess where there is no extravasation of contrast, other intra-abdominal fluid collections, an associated small bowel obstruction, and/or unrecognized bowel injuries. CT is most diagnostic when performed with intravenous, oral, and rectal contrast. One study showed that CT results with rectal contrast were associated with significantly more patients with contrast at the anastomosis compared with CT scans without rectal contrast (81.7% vs. 26.0%, p < 0.001). CT results with rectal contrast are also associated with fewer false–negative scans (4.6% vs. 18.0%, p = 0.004), less mortality (4.6% vs. 16.0%, p = 0.006), and less failure to rescue (7.9% vs. 19.5%, p = 0.048).[11] For patients with a distal rectal anastomosis, the rectal catheter for delivering contrast is often positioned by the surgeon to minimize trauma and to optimize the flow of contrast through the anastomosis. It is also an opportunity to gently palpate the anastomosis for defects. Failure to diagnose an AL may result in a chronic sinus tract and cavity with long-term sepsis or need for permanent stoma.

Figure 1. Contrast Enema Showing Anastomotic Leak
Descriptive text is not available for this image
Figure 2. CT Scan Showing Fluid Collection due to Anastomotic Leak
Descriptive text is not available for this image

Initial management of patients with AL includes intravenous fluid resuscitation and broad-spectrum antibiotics. Physical examination is then necessary to determine those individuals with peritonitis or continual hemodynamic instability that requires immediate operative attention from those who can proceed with a more thorough evaluation that includes further radiological imaging. This imaging may include with oral CT or by contrast enema with tube placement or injection by the surgeon themselves.

This management decision is best guided by assessing multiple clinical factors (Figure 3) that include:

  1. Physiologic status of the patient: hemodynamic instability, fluid status, and requirement for vasopressors
  2. Patient-specific factors: frailty, nutritional status, physiologic reserve, comorbid conditions, preoperative continence for stool status, American Society of Anesthesiologists physical status classification, tobacco use, immunosuppressive medications, initial surgical indications and goals, presence of protective ileostomy, and the potential need for additional treatment (e.g., chemotherapy for a malignant diagnosis)
  3. Operative findings: condition of the anastomosis (i.e., size of the anastomotic defect, presence of perianastomotic abscess, concomitant tissue ischemia/necrosis), location of the anastomosis (intraperitoneal vs. extraperitoneal) and degree and severity of peritoneal contamination (localized vs. diffuse, purulent vs. feculent)
  4. Surgeon and institution expertise

These factors help guide surgical decision-making that determine whether the AL should be resected with an end colostomy or the anastomosis can be potentially salvaged with concomitant proximal diversion.

Figure 3. Management of Anastomotic Leak
Descriptive text is not available for this image
IR, interventional radiology; LAR, low anterior resection

There's more to see -- the rest of this topic is available only to subscribers.

Last updated: June 30, 2025